Yeniçağ Gazetesi
05 Aralık 2025 Cuma
İstanbul 13°
  • Adana
  • Adıyaman
  • Afyon
  • Ağrı
  • Amasya
  • Ankara
  • Antalya
  • Artvin
  • Aydın
  • Balıkesir
  • Bilecik
  • Bingöl
  • Bitlis
  • Bolu
  • Burdur
  • Bursa
  • Çanakkale
  • Çankırı
  • Çorum
  • Denizli
  • Diyarbakır
  • Edirne
  • Elazığ
  • Erzincan
  • Erzurum
  • Eskişehir
  • Gaziantep
  • Giresun
  • Gümüşhane
  • Hakkari
  • Hatay
  • Isparta
  • Mersin
  • İstanbul
  • İzmir
  • Kars
  • Kastamonu
  • Kayseri
  • Kırklareli
  • Kırşehir
  • Kocaeli
  • Konya
  • Kütahya
  • Malatya
  • Manisa
  • Kmaraş
  • Mardin
  • Muğla
  • Muş
  • Nevşehir
  • Niğde
  • Ordu
  • Rize
  • Sakarya
  • Samsun
  • Siirt
  • Sinop
  • Sivas
  • Tekirdağ
  • Tokat
  • Trabzon
  • Tunceli
  • Şanlıurfa
  • Uşak
  • Van
  • Yozgat
  • Zonguldak
  • Aksaray
  • Bayburt
  • Karaman
  • Kırıkkale
  • Batman
  • Şırnak
  • Bartın
  • Ardahan
  • Iğdır
  • Yalova
  • Karabük
  • Kilis
  • Osmaniye
  • Düzce
E-Gazete

Sigara umulmadık yerinde saç çıkarttı! Doktorların nutku tutuldu

Uzun yıllardır sigara kullanan bir adamın boğazının arka kısmında siyah, tel gibi kıllar çıkarken, adama endotrakeal kıllanma adı verilen son derece nadir bir teşhis konuldu. Avusturyalı bilim insanları, sigaranın boğaz iltihabını tetikleyebileceğini ve bunun da hücrelerin kıl köklerine dönüşmesine neden olabileceğini söyledi.

Sigara umulmadık yerinde saç çıkarttı! Doktorların nutku tutuldu - Resim: 1

Uzun yıllardır sigara kullanan bir adamın boğazının arka kısmında siyah, tel gibi kıllar çıkarken, adama endotrakeal kıllanma adı verilen son derece nadir bir teşhis konuldu.

1 8
Sigara umulmadık yerinde saç çıkarttı! Doktorların nutku tutuldu - Resim: 2

Sigaranın insan sağlığı üzerinde birçok zararı bulunurken, Avusturyalı bir adamın yaşadığı olay herkeste şok etkisi yarattı. 52 yaşındaki bir kişi; ses kısıklığı, nefes almada zorluk ve kronik öksürük şikayetleriyle hastaneye başvurdu.

2 8
Sigara umulmadık yerinde saç çıkarttı! Doktorların nutku tutuldu - Resim: 3

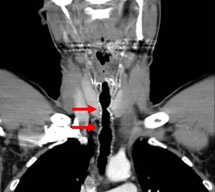
Avusturyalı hasta, 1990 yılında 20 yaşındayken sigara içmeye başladığını ve bir keresinde saçından bir kıl çıktığını iddia ederken, hastanın solunum yollarına küçük bir kamera göndererek inceleme yapıldı.

3 8
Sigara umulmadık yerinde saç çıkarttı! Doktorların nutku tutuldu - Resim: 4

Doktorlar, adamın boğazında birkaç koyu renkli kıl çıktığını keşfederken, tüyleri almayı başardılar ve geçici bir rahatlama sağladılar.

4 8
Sigara umulmadık yerinde saç çıkarttı! Doktorların nutku tutuldu - Resim: 5

Saçların bakterilerle kaplandığı belirlenip kendisine antibiyotik verilse de saçlar sonraki 14 yıl boyunca her yıl yeniden çıktı.

5 8
Sigara umulmadık yerinde saç çıkarttı! Doktorların nutku tutuldu - Resim: 6

Doktorlar, endotrakeal kıllanma veya boğazda kıllanma adı verilen son derece nadir bir durum teşhisi konulan adamın bu durumunun muhtemelen sigara içme alışkanlığından kaynaklandığına inanıyor.

6 8
Sigara umulmadık yerinde saç çıkarttı! Doktorların nutku tutuldu - Resim: 7

American Journal of Case Report'ta yazan yazarlar, bu tuhaf olayın türünün yalnızca ikinci vakası olduğunu ifade ederken, Avusturyalı bilim insanları, sigaranın boğaz iltihabını tetikleyebileceğini ve bunun da hücrelerin kıl köklerine dönüşmesine neden olabileceğini söyledi.

7 8
Sigara umulmadık yerinde saç çıkarttı! Doktorların nutku tutuldu - Resim: 8

Doktorlar her baktığında adamın boğazında altı ila dokuz adet kıl olurken, tüylerin bir kısmı gırtlağa girip oradan da ağzının içine doğru yol almayı alışkanlık haline getirmişti.

Saç büyümesinin başlangıcının hastanın sigara içmesi tarafından tetiklendiğini varsayıyoruz dediler. Bu endotrakeal saç büyümesini uyarmış olabilir. Fakat elbette bu tür vakaların nadir olması nedeniyle bu varsayım kanıtlanamaz.

TEDAVİ NASIL YAPILDI

Doktorlar, adama sigarayı bırakana kadar düzeltici tedavi önermemeye karar verdi ve o da sonunda 2020'de bunu yaptı. Saç kökünün yakılmasını içeren endoskopik argon plazma pıhtılaşması gerçekleştirdiler. İşlemden bir yıl sonra iki adet saç çıktı ve yeniden bir tedavi uygulandı. O zamandan beri hiçbir tüy geri dönmedi.

8 8