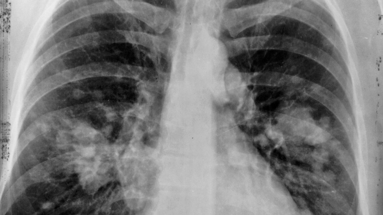
İnsanların akciğerlerine ilişkin yaşadığı sorunlar kişiden kişiye göre değişiyor. Yani kalıtsal bazı özellikler ve yaşam tarzı insanların akciğer sorunları yaşayıp yaşamayacağının önemli göstergelerinden. Sigara içmenin yanısıra akciğer sorunlarına neden olabilecek çok sayıda neden bulunuyor. Hatta insanların çoğunluğu, sorun yaşayana kadar akciğerlerinin olumsuz etkilenebileceğinin farkına varmıyor.

Sigara kullanılmasa da, havada akciğerleri olumsuz etkileyebilecek çok sayıda bileşen olduğu unutulmamalı. Toksinler, kimyasallar, gazlar ve toz parçacıkları solunan hava ile akciğerlerin içine girerek, ciğerlerimizde farkında olmadan hasara neden oluyor. O nedenle akciğerleri korumak büyük önem taşıyor.

AKCİĞERLERİ TEMİZLEMEK

Akciğerlerin düzenli olarak temizlenmesi, solunum yollarının korunması için en kolay yollardan biri. Akciğerlerin temizlenmesi zararlı toksinler, organizmalar ve diğer zararlı maddeleri solunum yolundan çıkarıyor ve sistemin normal çalışmasını sağlıyor. Bu temizleme süreci aynı zamanda, akciğerlerdeki sirkülasyonu da geliştiriyor ve bu da vücutta dolaşan oksijeni rahatlatıyor. Akciğerlerin temizlenmesi aslında bir hayli basit ve bunu yapmak için doktora gitmeniz gerekmiyor. Üstelik bunu 72 saat içinde gerçekleştirebilirsiniz. Tek gereken istek, adanmışlık ve kararlılık...

1. Adım: Süt ürünlerini kullanmayın - Akciğerlerin temizlenmesi için ilk adım günlük süt ve süt ürünlerini yiyeceklerden çıkarmak olacak. Temizleme sürecine başlamadan 2 gün önceden peynir, tereyağ, süt ve yoğurt gibi besinleri yiyecek listenizden çıkarın. Bu gerçekten önemli. Çünkü günlük süt ürünleri kullanmak toksinlerin vücutta kalmasına neden olabilir. O nedenle birkaç gün için süt ve süt ürünlerine veda edin.

2. Adım: Organik besin kullanın - İkinci adım ise bolca bitki çayı tüketmek. Bitki çayları ve organik çaylar tüketmek, vücutta biriken tüm toksinleri ortadan kaldıracak bir detoksun önemli parçasıdır. Akciğer temizleme sürecine başlamadan önceki gece yatmadan önce bir fincan bitki çayı içtiğinizden emin olun. Bu sürece başlarken nadiren de olsa kabızlık yaşanabileceğini de belirtmek gerekli.

3. Adım: Sabahları limonata - Akciğer temizleme sürecine başladığınız günün sabahında iki limon sıkılmış 300 mililitre ılık su içmelisiniz. Bunu kahvaltıdan önce yapın. Böylelikle limon asidi, toksinlerin dışarı atılması için mideyi hazırlayacaktır.

4. Adım: Doğal meyve suları kullanın - Atıştırmalık olarak greyfurt ya da limon suyu kullanın. Greyfurt suyunu beğenmiyorsanız, ılık suyla karıştırarak da tüketebilirsiniz. Hiç olmuyorsa, ananas suyu deneyin. Bu doğal meyveler çok fazla miktarda antioksidan barındırırlar ve vücuttaki toksinlerin temizlenmesine yardımcı olurlar. Kısaca buradaki anahtar kelime, doğal meyve suları tüketmekte, böylece akciğerlerin çalışması da engellenmemiş olur.

5. Adım: Havuç suyu tüketin - Kahvaltı ve öğle yemeği arası 300 mililitre havuç suyu için. Havuç suyu 3 günlük detoks sürecinde kanın temizlenmesine yardımcı olacaktır.

6. Adım: Uygun bir diyet programı uygulayın - Öğle yemeğinde dengeli her şey tüketilebilir. Ancak yağlı yiyecekler, fast food ve karbonhidratlardan kaçının. Öğle yemeklerinde meyve, sebze, çorba, salata, balık ve yumurta gibi basit gıdaları tercih edin. Yemekle birlikte potasyum bakımından zengin 400 mililitre meyve suyu tüketilmesi gerekiyor. Havuç, ıspanak, kereviz sapı ve maydanoz iyi bir potasyum kaynağıdır. O nedenle bu dört gıdadan biri ya da hepsinin karışımı öğle yemeğinde içilebilir. Potasyum vücut tarafından sindirildiğinde mükemmel bir temizleyicidir ve akciğerlere zarar vermeden toksinleri yok eder. Buradaki anahtar kelime, akciğerleri doldurmamak ve aynı zamanda akciğerleri toksinlerden ve diğer zararlı maddelerden kurtarmaktır. Potasyum aynı zamanda zararlı bakteriler için de bire birdir ve ciğerleri enfeksiyonlara karşı korur..

7. Adım: Çilek türleri tüketin - Son adım, yatağa yatmadan önce 400 mililitre taze sıkılmış yabanmersini ya da kızılcık suyu içmek. Çilek türü meyveler, ciğerlerde enfeksiyona neden olan bakterilerle mücadelede katkı sağlayan antioksidanlardır. Bu meyveler akciğerleri otomatik olarak sağlıklı ve temiz tutarlar.

Bu süreç 3 gün boyunca tekrar edilmeli ve vücuda toksinleri bırakacak zaman verilmelidir. Ayrıca süre boyunca destek için bitki banyoları da yapabilirsiniz. Sıcak suya atacağınız okaliptus yağı gibi takviyelerle yapılacak 20 dakikalık banyolar, solunum yoluyla temizliğe katkı sağlayacaktır. Tabii ki 3 günlük temizleme sürecinde içebildiğiniz kadar su içmelisiniz. Bol bol yürümeyi de unutmayın. Çünkü yürüyüş sırasında akciğerlerinize alacağız temiz oksijen, temizlenme sürecini hızlandıracaktır. Uzmanlar bu akciğer temizleme sürecinin yılda 2 kez yapılmasını tavsiye ediyor.

Bunları yaparken mutlaka doktorunuza danışın