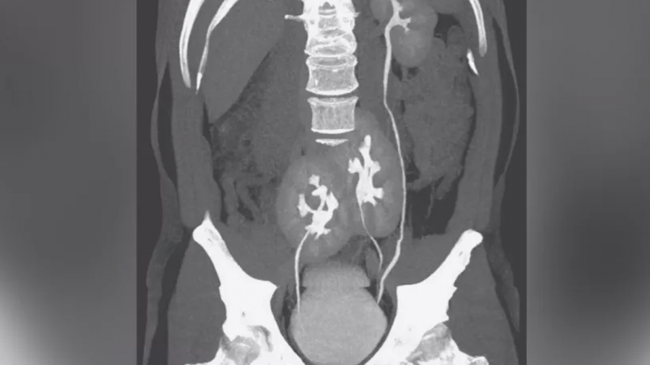
İHA’nın haberine göre; Balıkesir''de oturan ve çocuk yaşta kronik böbrek yetmezliği teşhisi konulan 36 yaşındaki Cafer Gürbüz, 2002 yılında Ege Üniversitesi Hastanesinde nakil operasyonu geçirdikten sonra 3 böbrekle yaşamına devam etti.

Bu böbreğinin de işlevini yitirmesinin ardından 2019''da 2 yaşındaki bir bebeğin böbrekleriyle Bursa Uludağ Üniversitesi Tıp Fakültesi Hastanesinde yeniden nakil olan Gürbüz, ikisi sağlıklı 5 böbrekle hayatını devam ettirdi.

İdrar yolu enfeksiyonu nedeniyle tekrar üniversite hastanesinde tedaviye alınan hastanın, yeni böbreklerinin zarar görmemesi için doğuştan itibaren kendisinde olan iki böbreği alındı.

3 böbrekle yaşamını devam ettiren Gürbüz, yeniden sağlığına kavuşmanın mutluluğunu yaşıyor.