Çin'de ortaya çıkan ve tüm dünyayı etkisialtına alancorona virüs salgınıyla hayatını kaybeden Çin vatandaşının röntgen filmleri ortaya çıktı.
HASTANIN RÖNTGEN GÖRÜNTÜSÜ YAYINLANDI
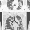
Kuzey Amerika Radyoloji Derneği (RSNA) 44 yaşında corona virüsten ölen bir erkek vakanın akciğer röntgen fotoğraflarını yayınladı. Röntgen filmlerinde akciğerlerin çevresindeki sıvının nasıl zamanla daha belirgin ve yoğun bir hale geldiğini gözler önüne seriyor.
Çin vatandaşı hastanın yaklaşık iki hafta boyunca ateş ve öksürükten şikayetlerinin ardından sonra 25 Aralık 2019'da hastaneye kaldırılan hastaya doktorlarilk olarak zatürre ve akut solunum sıkıntısı sendromu teşhisinde bulundu. Hasta tedavi edilmesine rağmen 1 hafta sonra corona virüse bağlı semptomlar nedeniyle yaşamını yitirdi.

AKCİĞERDEKİ BEYAZ LEKELER DİKKAT ÇEKİYOR
Corona virüs hastalarının çoğunda ters bir çember işareti belirgin bir şekilde göze çarpıyor. Akciğerlerin alt köşelerindeki beyaz lekeler virüsün varlığını gözler önüne seriyor.

