Dikkat: Gençlerde ağır covid vakaları arttı İstanbul Tıp Fakültesi Dekanı Prof. Dr. Tufan Tükek'ten uyarı geldi: "Maalesef çoğu aşısız olduğu ve maske mesafeye dikkat etmediği için 20'li yaş grubunda ağır Kovid vakaları arttı" dedi.
Mehmet Ceyhan: Eğitim sistemi karışacak, tanı testleri acilen devreye alınmalı Prof. Dr. Mehmet Ceyhan, "Covid-19 ile semptomları çok benzeyen soğuk algınlığı ve grip vakaları arttıkça, eğitime ara vermeyi teste değil, semptoma bağlayan sistemimiz iyice karışacak” uyarısında bulundu.
Kovid sanıldı, çıkan sonuç şoke etti Giresun'da yaşayan 64 yaşındaki Tevhide Özkaya'nın geçtiğimiz yıl başlayan halsizlik şikayeti önce Kovid şüphesiyle araştırıldı. Aylarca süren şikayetlerinin nedeni ortaya çıktığında şoke etti.
Prof. Dr. Mehmet Ceyhan’dan aktif vaka tahmini Prof. Dr. Mehmet Ceyhan, Covid-19 salgınının Türkiye’deki boyutuna ilişkin, “Sadece belirtisi olanlara test yapıyoruz ama vakaların yüzde 85’i, çocuklarda yüzde 90’ı belirtisiz seyrettiği için o gruplara zaten test yapılmıyor. Dolayısıyla şu anda 460, 470 binlik aktif vaka sayısının en az 4 buçuk milyon civarında olduğunu tahmin ediyorum” dedi ve virüsün en çok bulaştığı 3 yeri açıkladı.
Uzman Dr. Savaşçı'dan korkutan açıklama Ankara'da Enfeksiyon Hastalıkları ve Klinik Mikrobiyoloji Uzmanı Doç. Dr. Ümit Savaşçı, İngiltere'de yapılan araştırmayla Covid-19 geçirenlerin beyinlerinde 'gri cevher' denilen alanda küçülme ve hücre ölümü tespit edildiğini söyledi. Doç. Dr. Savaşçı, "Bu açıkçası ilerleyen dönemde hem MS hem Alzheimer artışlarına neden olabilecek bir gelişme" dedi.
Prof. Aydın uyardı: Daha ağır geçirebiliriz Karadeniz Teknik Üniversitesi (KTÜ) Tıbbi Mikrobiyoloji Ana Bilim Dalı Başkanı Prof. Dr. Faruk Aydın, “Önümüzdeki günlerin vaka pozitifliğini göz önüne aldığımızda, daha ağır bir dönem geçirme ihtimalimiz var" dedi
İstanbul'da canlı virüs tespit edildi Tarım ve Orman Bakanlığı Türkiye Su Enstitüsü Başkanlığı koordinatörlüğünde, atık su noktalarında yapılan ölçümlerle Covid-19 salgının yayılımı ve seyri tespit ediliyor. Salgının il bazında izlendiği ve vaka artışlarının 4-5 gün önceden atık sulardan tespit edilebildiği projede varyant analizlerine de başlandı. Türkiye Su Enstitüsü Başkanı Prof. Dr. Ahmet Mete Saatçi, "Tüm varyantları atık sudan tespit edebiliyoruz" dedi.
MEB'den korona virüs hastası ve temaslısı öğrenciler için yeni karar Milli Eğitim Bakanlığı (MEB), korona virüs (Covid-19) hastası ve temaslısı öğrenciler ile öğretmenler için yeni bir karar yayımladı.
Dilipak'tan akıllara zarar iddialar: Karar verin! Chip’lenecek (mi)siniz! Yeni Akit Yazarı Abdurrahman Dilipak, "Artık, dünyada son biyolojik insan neslini sıfırlamaya hazırlanıyorlar" iddiasını gündeme getirdi.
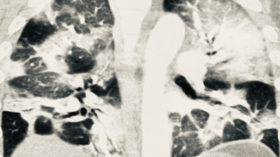
Aşı olanlarda korona virüs akciğere zarar vermiyor! İşte 2 kişiye ait tomografi sonuçları Radyoloji Uzmanı Prof. Dr. Güner Sönmez, 35 ve 42 yaşında Covid olmuş iki insanın akciğer filmleri hakkında dikkat çeken bir değerlendirmede bulundu.
Vakalar yükseldi tablet fiyatları da artabilir Pandemide uzaktan eğitime geçilmesinde öğrenciler için olmazsa olmaz haline gelen bilgisayar ve tabletler, yeni dönemde de uzaktan eğitim kararı çıkarsa fiyatları yükselebilir.
Dilipak, AKP'nin 3 açmazını sıraladı Yeni Akit yazarı Abdurrahman Dilipak, iktidar partisi AKP’nin '3 açmazını’ sıraladı.
Covid-19'u ağır geçiren gençlerin yüzde 40'ında oluştu The Lancet adlı tıp dergisinde yayımlanan ve 70 bini aşkın kişinin incelendiği yeni bir çalışma, 19 ile 49 yaş arasındaki hastanede tedavi edilen Covid-19 hastalarının yüzde 40'ının böbrekleri, akciğerleri veya diğer organları ile ilgili sorunlar yaşadığını ortaya koydu.
Türkiye’den KKTC’ye 50 bin doz Sinovac aşısı Kuzey Kıbrıs Türk Cumhuriyeti (KKTC) Başbakanı Hamza Ersan Saner, Cumhurbaşkanı Recep Tayyip Erdoğan’ın talimatı üzerine bu akşam KKTC’ye 50 bin doz Sinovac korona virüs aşısının geleceğini duyurdu.
DSÖ’den Afrika uyarısı. Vaka sayıları yüzde 20 artarken durma noktasına geldi Dünya Sağlık Örgütü, Afrika'da yeni tip korona virüs vakalarında yüzde 20 artış olduğu halde kıtaya aşı sevkiyatının durma noktasına geldiğini bildirdi.
Korona olana ilk “çakılan” ilaç Dünya Sağlık Örgütü’nün korona tedavisinde listeden çıkardığı klorokin ve favipiravir ilaçlarının Türkiye’de hala kullanıldığını söyleyen CHP Ankara Milletvekili Murat Emir, “Öyle bir ilaç ki, kalpte ritim bozukluğu yapar, öldürür” dedi.
Türkiye'de aşı miktarı 28 milyon doza ulaştı Sağlık Bakanlığı tarafından uygulanan birinci ve ikinci doz aşı miktarı toplamda 28 milyon 774 doza ulaştı. Sağlık Bakanlığının "covid19asi.saglik.gov.tr" adresinde yer alan anlık verilere göre birinci doz aşı sayısı 16 milyon 159 bin 856, ikinci doz aşı 12 milyon 73 bin 918 oldu. Böylece toplam doz miktarı 28 milyon 233 bin 774 olarak verildi.
Aniden ortaya çıkıyor. Gün geçmiyor ki koronanın bir zararı daha keşfedilmesin Eskişehir ve Ankara'da görevli Kulak Burun Boğaz (KBB) uzmanlarından oluşan 3 kişilik ekibin yaptığı araştırmada, yeni tip korona virüs salgını döneminde ani işitme kaybı yaşayanların sayısının arttığı ve bu hastaların yarısında Covid-19 belirtilerine rastlandığı belirlendi.
Bakan Koca 60 yaş üstü başlıyor demişti. Korona aşılarından halen haber yok Sağlık Bakanı Fahrettin Koca, geçtiğimiz hafta 60-65 yaş grubu vatandaşların aşılanmaya başlayacağını açıklamıştı. Ancak haftanın ikinci günü gelmesine rağmen aşılamanın başlamadığı öğrenildi. Çin’in korona virüs aşılarından uzun süredir yeni bir parti Türkiye’ye gelmedi.
Uzman doktordan korona geçirenlere çok önemli uyarı. Göğüs ağrısıyla başlıyor aniden geliyor Radyoloji Uzmanı Dr. Alper Bozkurt korona virüse yakalanan hastalarda sonradan görülen kalp rahatsızlıklarına dikkat edilmesi gerektiğini vurguladı. Bozkurt, korona sonrası kalp damarlarında ani tıkanma olabileceğini söyledi.
Maske takmak kalıcı hale mi gelecek. Her şey bu satır aralarında gizli Amerika’da korona virüs ve maske takma alışkanlığı hakkındaki araştırmanın satır aralarında çarpıcı bilgilere yer verildi. Araştırmada, “Maske takmak, artık bir sağlık mecburiyeti olmadığı noktada sosyal bir mecburiyet olarak kalabilir” ifadeleri yer aldı.
Bilim insanları ortaya koydu: Hastalıklarda mikropları söküp atıyordu. Meğerse koronaya bir faydası yokmuş Amerika Birleşik Devletleri’nde yapılan bir araştırma, yeni tip korona virüs tedavisinde kullanılan antibiyotiklerin herhangi iyileştirici bir rolü olmadığını ortaya koydu.
Pandemi döneminin yıldızı oldu. Kilo vermeden bağışıklığı kuvvetlendirmeye turşu suyunun bin bir çeşit faydası Pandemi’de talebin arttığı turşu suyu, Adana’da içecek fabrikası sahibi Selahattin Naz’ın girişimiyle ambalaja girdi. Peki turşu suyu nedir? Turşu suyu faydaları nelerdir? İşte turşu suyu faydaları...
Güneydoğu’nun mavi olmasının gerçek nedeni ortaya çıktı Korona virüs salgınında Yerinde Tedbir uygulaması başladı. Sağlık Bakanlığı tarafından açıklanan son verilerde ise Güneydoğu illerinin tamamen “mavi” olması dikkat çekti. Yaz ayları itibariyle korona virüsün patlama yaptığı bölgede vaka sayıların bu kadar düşmesinin nedeni ise merak konusu oldu.
Korona virüsü ağır geçirenlere bir kötü haber daha geldi. Hastaların yarısında tespit edildi Yeni tip korona virüsün uzun vadede zararları gün geçtikte ortaya çıkıyor. İngiltere'de yapılan bir araştırmada, korona virüsü ağır geçiren kişilerin yarısına yakınında kalp hasarı tespit edildi. Araştırmada, kalp kası iltihaplanması, kalp dokusunda hasar veya kalbe giden sınırlı kan akımı gibi durumlar belirlendi.
Bilimsel olarak kanıtlandı! Korona virüse karşı yüzde 95 koruyor ABD Hastalık Kontrol ve Önleme Merkezi’nden (CDC) bilim insanları, kumaş maskelerin altına takılan cerrahi maskelerin koronaya karşı yüzde 95 koruyuculuk sağladığını açıkladı.
98 yaşındaki Behiye Türker koronayı alt etti Muğla'da kronik rahatsızları bulunan 98 yaşındaki Behiye Türker, korona virüsü yenerek sağlığına kavuştu. Türker'in tedavisini yapan doktorlardan olan Doç. Dr. Cem Şahin, "Hastanemizde geçirdiği 17 günlük süreçte kendisi hepimize bir moral kaynağı oldu. Şimdi evinde yakınları tarafından özenle bakılıyor" diye konuştu.
Korona virüs aşısında tuhaf yan etki covid19 kolu ABD'li ilaç firması Moderna'nın aşısını yaptıran kişilerde ilk enjeksiyonu takip eden 7-10 gün arasında kolda dev kızarıklık ve şişlik olduğu açıklandı.
Bu uyarılar milyonlarca insanın hayatını kurtarabilir. Kardiyolog Doç. Dr. Muhammed Keskin paylaştı. Doğru bildiğimiz yanlışları açıkladı! Kardiyolog Doç. Dr. Muhammed Keskin Türkiye’de milyonlarca insanı ilgilendiren kalp ve damar sağlığı, tansiyon ve kolesterol konularıyla ilgili dikkat çeken bir paylaşım yaptı.
Prof. Dr. Tufan Tükek'den korona tedavisi görenleri üzecek haber İstanbul Tıp Fakültesi Dekanı Prof. Dr. Tufan Tükek, korona virüs tedavisi görmüş hastaların 9 aylık takipleriyle ilgili yaptığı açıklamada, "Özellikle kadın hastalarımızda saç dökülmesi sorununa yüzde 10'lara varan bir oranda rastlamaya başladık" dedi. Tükek, "Hareketsizlikten 1-2 sene sonra kalp hastalıklarında patlama yaşanması kaçınılmaz" dedi.
Dünya'da korona ölümleri 3 milyona dayandı Çin'in Vuhan kentinde Aralık 2019'da ortaya çıkan Kovid-19 dünya genelinde can almaya devam ediyor.
Hastaneler baskı altında. Kırmızı alarm verildi İngiltere Başbakanı Boris Johnson, yeni tip korona virüs (Kovid-19) salgını nedeniyle hastanelerin her zamankinden daha fazla baskı altında olduğunu belirterek, virüsün yayılışını durdurmak için evden çıkılmaması uyarısında bulunup kırmızı alarm verdi
Merkel resmen devretti. Bayrak artık Portekiz'de Avrupa Birliği (AB) dönem başkanlığının resmi olarak 1 Ocak'ta Almanya'dan Portekiz'e geçecek olmasına bir gün kala Almanya Başbakanı Angela Merkel görevini sanal ortamda Portekiz Başbakanı Antonio Costa'ya devretti.
Batı'ya aşı göndermesi. Ahlak krizine yol açar Afrika Birliği Hastalık Önleme ve Kontrol Merkezi (Africa CDC) Direktörü Dr. John Nkengasong, zengin ülkelerin aşıları stoklamasının ahlaki krize yol açabileceği uyarısında bulunarak kıtada geniş çaplı bir aşılama programının başlamasının Nisan 2021'i bulabileceğini söyledi.
İran ürettiği aşıyı insan üzerinde test etti İran yeni tip korona virüse (Kovid-19) karşı bağışıklık sağlamak amacıyla geliştirdiği yerli aşı "COVIRAN Bereket"i klinik deneme aşamasında ilk defa insan üzerinde denedi.
Hamileler ve emziren anneler korona virüs aşısı olabilir mi? Korona virüs aşısı geliştiren bir çok firma yapılan çalışmalarda hamile kadınları deneylere dahil etmedi. Aşılar kullanılmaya başladığında ise her ülke bu konuda farklı bir tutum sergiliyor. Peki hamile kadınlar covid19 aşısı olabilir mi? Emziren anneler korona virüs aşısı yaptırabilir mi?
IMF uyardı! Son derece belirsiz IMF, yaptığı açıklamada ekonomik görünümün "son derece" belirsiz olduğu vurgulanırken, risklerin 2021 başlarına kadar aşağı yönlü olmaya devam ettiği belirtildi.
Korona virüsü bulaştırmak için konser düzenlediler. Tüm dünya bu olayı konuşuyor İspanya Barcelona'da korona virüs hızlı tanı kitlerinin ne kadar güvenilir olduğunun test edilmesi amacıyla konser düzenlendi. Hızlı test kiti uygulanan 500 kişilik bir grup, test sonrasında bir salonda toplanarak rock konseri izledi.
İtalya'da korona virüs nedeniyle can kaybı 55 bine dayandı İtalya'da korona virüs bilançosu gün geçtikçe ağırlaşıyor. Salgınında hayatını kaybedenlerin sayısı 541 artarak 54 bin 904'e yükseldi.
Koronada bütün aşı umutlarını unutun bu hayvan her şeyi çöpe atacak. 17 milyon tanesi öldürülecek Danimarka’da vizonlarda görülen korona virüsün mutasyon geçirdiği ve bu virüsün 12 kişiye bulaştığı tespit edildi. Danimarka Başbakanı Mette Frederiksen, söz konusu mutasyon geçiren virüsün mevcut aşı çalışmalarını boşa düşüreceğini ve ülkedeki 17 milyon vizonun öldürüleceği açıkladı.
TÜBİTAK destek verdi : Türk Bilim İnsanları geliştirdi Kovid-19'u 10 dakikada teşhis edecek Erzurum'da, Türkiye Bilimsel ve Teknolojik Araştırma Kurumu (TÜBİTAK) desteğiyle geliştirilen proje ile üretilen Viral RNA izolasyon kitleri, işlem süresini 10 dakikanın altına düşürerek Kovid-19'un teşhisinde zaman kazandıracak.
Alman aşısından güzel haberler gelmeye başladı Alman ilaç firması CureVac tarafından geliştirilen korona virüs aşısının ilk ayağı olan Faz I çalışmalarında kişilerin bağışıklık tepkisinin tetiklendiği görüldü.
Rusya'da otobüsün içinde yumruklar konuştu. Yolcular şok üstüne şok yaşadı Rusya’da bir yolcu otobüsünde bilet görevlisi, maske takmayan iki kişiyi uyardı. Alkollü olduğu belirtilen iki kişi, bilet görevlisini darbetti. Kavgayı gören otobüsteki yolcular büyük şok yaşadı. O anlar otobüs kamerasınca kaydedildi.
Korona virüsün kol gezdiği şu günlerde Covid-19 yaşınız kaç? İşte en riskli gruplar Tüm dünyayı ve ülkemizi etkisi altına alan korona virüse karşı tedbirler işe yaramazken bilim insanlarının araştırmaları virüste yaş ve risk faktörlerini ortaya koyuyor. Covid-19 hastaları için en kritik yaş ancak doktorlar risk faktörü olarak sadece yaşa odaklanılmasını kaygı verici buluyor. Gerçek Covid19 yaşını belirleyen farklı faktörler de mevcut...