''AŞI OLANLARDA KOVİD AKCİĞERE ZARAR VEREMİYOR''
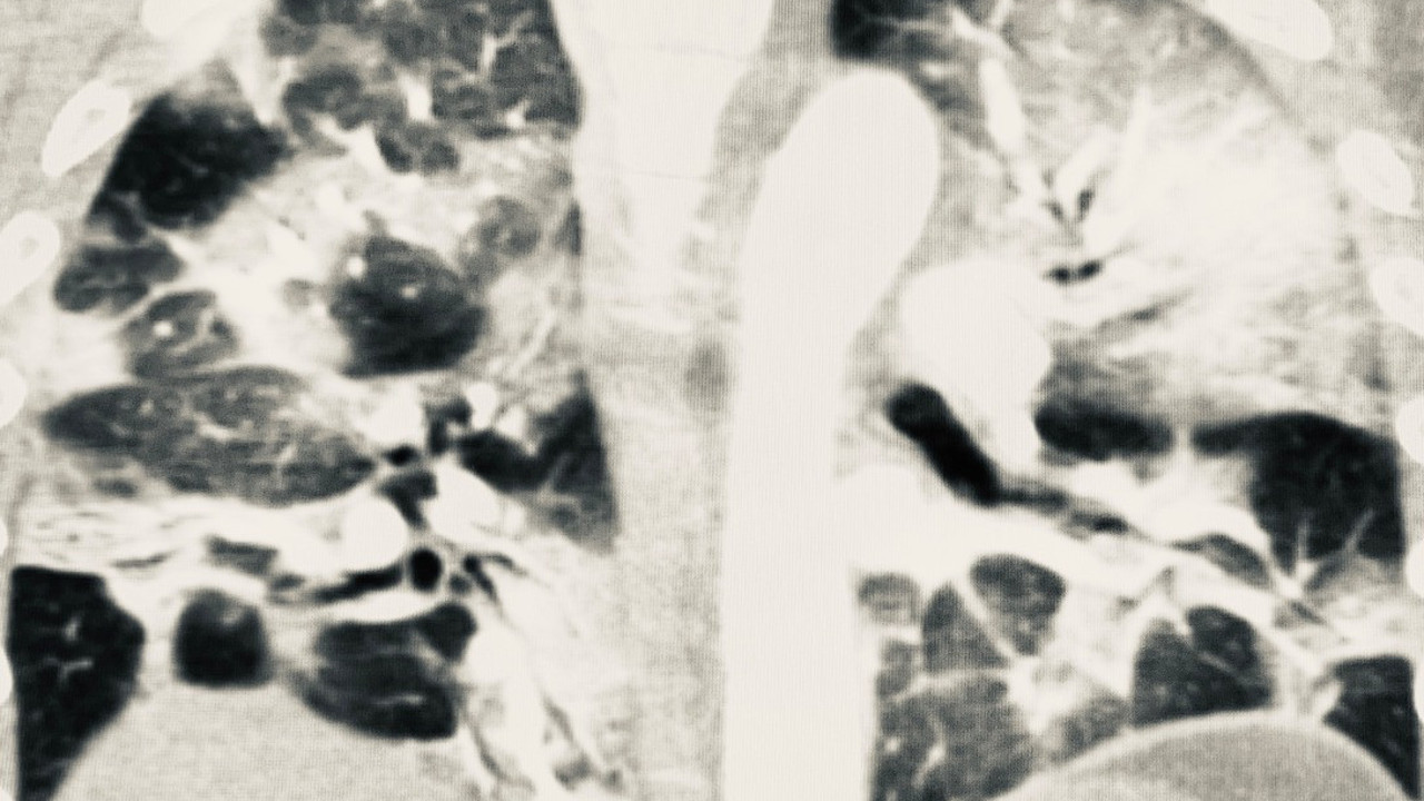
Aşı olduktan sonra Kovid-19''a yakalananların akciğer filminin normal çıktığını söyleyen Radyoloji Uzmanı Prof. Dr. Güner Sönmez, bu vakalarda akciğer tutulumu olmadığını belirtti. Ayrıca aşının yüzde 100 koruyucu olduğu ile ilgili yanlış bir algı olduğunu ifade eden Sönmez, "Aşı ağır hastalıktan, entübe olmaktan ve ölümden büyük oranda korur" dedi.


