Editör: Ali Öncü
İnsanların gerek hasta olmadan önce gerekse sağlık sorunlarına çözümler için doğal besinlere yönelme süreci devam ediyor. Bunlardan birisi olan eğirotu bitkisinin faydaları dikkat çekti.
Eğirotu bitkisinin sarılık ve nikris tedavisinde kullanıldığı bildirildi.
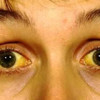
SARILIK NEDİR?
Kana rengini veren ve oksijen taşıyan yapılara hemoglobin denir. Hemoglobin kırmızı kan hücrelerinin (alyuvarların) ana yapısını oluşturan maddedir. Alyuvarların vücuttaki ömrü yaklaşık 120 gündür. 120 gün sonrasında kanda bulunan alyuvarlar yıkılıp yenilenir. Alyuvarlardaki bu hemoglobin maddesi yıkıldığı zaman bilirubine dönüştürülür. Bilirubin ise sarı renkli bir maddedir. Karaciğer, bilirubinin vücuttan uzaklaştırılması ile görevlidir. Fakat bilirubin herhangi bir nedenle vücuttan yeteri kadar uzaklaştırılamazsa kan dolaşımına katılır ve cildin, mukozaların ve göz akının sarı renkte gözükmesine neden olur.
EĞİROTU BİTKİSİ NEDİR?
Yılanyastığıgiller familyasından; akarsu kıyıları ve bataklıklarda yeti en 60-70 cm. boyunda bir otsu bitkidir. Meyveleri ye ilimsi renktedir. Çiçekleri, siyahımsı-erguvani renklidir. Tadı mayhoştur.
ZARARI VAR MI?
Ön görülen dozlarda alındığında her hangi bir yan etkisi yoktur. Aşırı alımlarda ise mide bulantısı ve kusma yapabilir. Uçucu yağı kullanılmamalıdır, içerigindeki asorone yüzünden duodenal kanseri yapabilir.
NASIL KULLANILIR?
Çay: 1 çay kasığı (yaklaşık 4 gr ) kadar kıyılmış kök üzerine 250 ml kaynar su dökülerek haşlanır. 15 dakika bekletilip süzülür.
Çay: 1 çay kaşığı kıyılmış kök 1 bardak soğuk suda kaynama noktasına kadar 30 dak. İçinde ısıtılır.
Çay: 2 çay kaşığı kıyılmış kök 1 bardak soğuk suda 12 - 18 saat demlenip süzülür. Tercih edilen soğuk demleme olup içmeden önce hafifçe ısıtılır.
Çay olarak günde 3 fincan içilmelidir.
Bitki suyu: Taze soyulmuş kök iri parçalara bölünerek preslenerek suyu çıkarılır. Aşırı sıkılmamalıdır.
Banyo: 200 - 500 gram iri kiyim kök 5 litre soğuk suda bir gece (12 - 18 saat) bırakılıp kaynayıncaya kadar ısıtılır. Ateş söndürülüp 7 - 8 dakika demlenir ve banyo suyuna karıştırılır. Akşam veya gece banyo yapılmamalıdır.
