Independent Türkçe’de yer alan habere göre, burun tıkanıklığı yaşayan ve sümkürdüğünde "kötü kokular" gelen 15 yaşındaki gencin burnundan çıkanlar doktorları bile şaşırttı.

TIKANIKLIK BAŞLADI VE KOKU ALMA DUYUSU AZALDI

JAMA Otolaryngology - Head & Neck Surgery dergisinde 18 Şubat''ta yayımlanan makaleye göre genç birkaç yıldır burun tıkanıklığı yaşadığını ve koku alma duyusunun azaldığını söyledi.

DAR ARALIKLAR GENİŞLEDİ

Doktorlar, gencin burnunu bir kamera yardımıyla inceledikten sonra burundaki dar aralıkların genişlediğini tespit etti. Bu duruma bazen mevsimsel alerjiler ya da sinüs iltihabı da yol açabildiği için doktorlar gence bir burun spreyi ve antihistamin yazdı ve 4-6 hafta sonra tekrar gelmesini istedi.

BURNUNDA HAVAN MERMİSİ ÇIKTI

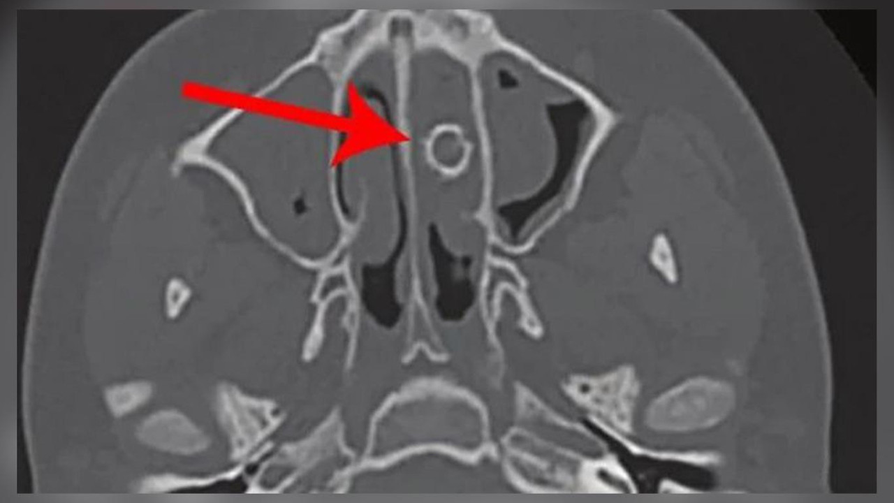
Kontrolden yaklaşık 1 yıl sonra doktora giden genç, sıkıntılarının devam ettiğini söyledi. Doktorlar daha sonra tomografi çekti ve burun boşluğunda 9 mm''lik dairesel bir cisim olduğunu fark etti. Genç, daha sonra havalı tüfek mermisi olduğu anlaşılan nesnenin çıkarılması için ameliyat oldu.

8-9 YAŞLARDA BURNUNDAN VURULDU

Hastanın ailesiyle yapılan görüşmeden gencin 8 veya 9 yaşındayken burnundan vurulduğu ortaya çıktı.

KÖTÜ KOKUNUN NEDENİ: BAKTERİ

Bahsi geçen makalenin yazarlarından ve Teksas Üniversitesi Sağlık Bilimi Merkezi''nden Dylan Z. Erwin, burna kaçan nesnelerin kötü kokulara neden olabileceğini çünkü bu tip nesnelerin doğal kanalları tıkayarak mukus ve bakteri birikmesine neden olduğunu söyledi.

Ameliyattan sonra gencin burun dokusunun normale döndüğü ve kötü kokunun kaybolduğu belirtildi.