Pandemide aşı olmayı ve PCR testini reddettiği için tazminatsız işten çıkarılmıştı. Mahkemeden emsal karar
THY'den açıklama geldi! Bir ülke için daha zorunluluk kaldırıldı… Türk Hava Yolları (THY) Güney Afrika’ya seyahat edecek yolcuların ülkeye girişlerde aşı kartı ve PCR testi ibraz zorunluluğunun kaldırıldığını duyurdu.
THY'den Yunanistan ve Kırgızistan uçuşlarıyla ilgili açıklama Türk Hava Yolları (THY), Türkiye'den gelen yolculara aşı veya negatif PCR test ibrazı zorunluğu isteyen Yunanistan ve Kırgızistan'ın bu tedbirleri kaldırdığını duyurdu.
Testi nihayet negatif çıktı İstanbul'da lösemi tedavisi gören Muzaffer Kayasan Covid 19'dan sonunda kurtuldu.19 Aralık 2020'den bu yana yaptırdığı 85 covid 19 testi pozitif çıkan Muzaffer Kayasan sonunda koronadan kurtuldu. Kayasan'ın 86'ncı testinin negatif çıkmasıyla 16 aylık karantina süreci bitti.
Umreye gitmeyi düşünenler dikkat! Suudi Arabistan yeni kararını açıkladı Suudi Arabistan, umre ziyaretleri için PCR testi, aşı ve karantina şartını kaldırıldı.
Aşısız çocuklarla ilgili karar Antalya’yı sevindirdi Antalya Kent Konseyi Turizm Çalışma Grubu Başkanı Recep Yavuz, Almanya'da aşısız insanların seyahatini kısıtlayan uygulamanın sona erdiğini hatırlatarak "Almanya'da çocuklu ailelerin dünya genelinde ilk tercihi Antalya. Aşısız çocukları ile Antalya'ya gelemeyen ailelerin, bu kararla birlikte seyahat hesapları yeniden şekillenmeye başladı" dedi.
THY’den PCR kararı. Sadece iç hatlarda geçerli Türk Hava Yolları (THY), iç hat uçuşlarında negatif PCR test ve tüm uçuşlarda HES kodu uygulamasının kaldırıldığını açıkladı.
Polonya Ukrayna'dan gelenlere karantinayı kaldırdı Polonya, Ukrayna'dan gelenlere karantina ve test zorunluluğunu kaldırdı
Vaka sayılarında 5 katlık artışla karşı karşıyayız Sağlık Bakanlığı’nın koronavirüs vaka haritasında artışın sürdüğü Diyarbakır'ın, Hayat Eve Sığar (HES) uygulamasındaki haritada kırmızıya döndü. İç Hastalıkları ve Tıbbi Onkoloji Uzmanı Dr. Halis Yerlikaya, "Kentte 5 katlık artışla karşı karşıyayız. Test pozitiflik oranı yüzde 60’lara varmış, günlük hasta sayısı ise 3 binlere yaklaşmış durumda" dedi.
Sürü bağışıklığının uygulanması için doğru zaman değil Bilim Kurulu’nun aşı, PCR ve karantinaya ilişkin aldığı kararlar hakkında değerlendirmelerde bulunan Mikrobiyolog İpek Ada Alver, insanların bu kararlar doğrultusunda yapılan açıklamalar nedeniyle rehavete düştüğünü söyleyerek, “Türkiye’de ve bazı ülkelerde sürü bağışıklığı düşüncesi hakim durumda olsa da henüz bulaşıcılığı eskisinden de yüksek varyantlarla karşı karşıyayız. Dolayısıyla sürü bağışıklığı uygulanması için doğru zaman değil ve verilen kararlar için henüz erken” dedi.
Bulgaristan'dan 'Türkiye' için yeni genelge kararı Bulgaristan, Türkiye'nin de bulunduğu "kırmızı liste"deki ülkelerden gelecek yolcuların durumuyla ilgili değişiklikler yaptı.
HES uygulamasında flaş değişiklik. PCR testi olmayanları ilgilendiriyor PCR testi zorunluluğunun kaldırılmasının ardından Sağlık Bakanlığı bu kez de temaslıların ‘HES’ uygulamasında risksiz görüneceğini açıkladı.
Belçika'da korkutan test sonuçları Belçika Sağlık Bakanlığı, Omicron varyantının hızla yayılması nedeniyle, COVID-19 testlerinin yüzde 30'dan fazlasının pozitif çıktığını duyurdu.
Son Dakika... Türk Hava Yolları (THY)'ndan PCR testi kararı Son dakika... Türk Hava Yolları (THY), iç hat uçuşlarında PCR testi zorunluluğunu kaldırdı. Uçuşlarda HES kodunun ibrazı yeterli olacak.
Ozan Doğulu'nun doğum gününde PCR şartı! Ozan Doğulu önceki akşam 50’nci yaşını ailesi ve arkadaşlarıyla kutladı. Doğulu’nun sevgilisi Hera “Koronavirüs testi yaptırmayan partiye giremez” dedi.
Salgınla böyle mi mücadele ediliyor. Test vermek için sabah 05.00'ten 08.30'a kadar beklediler Büyükçekmece Mimarsinan Devlet Hastanesi'nin Kovid-19 Polikliniği'nde yaşanan ihmaller virüsün daha da yayılmasının önünü açıyor.
ABD aşı durumuna bakılmaksızın PCR testi isteyecek Korona virüs salgınında Omicron varyantının ortaya çıkmasının ardından bir dizi tedbir alan ABD, tüm yolculardan aşı durumuna bakılmaksızın negatif PCR testi ibraz etme zorunluluğu getirdi.
Afrika Uluslar Kupası için aşı kararı! Resmen açıklandı Kamerun’da 9 Ocak'ta başlayacak Afrika Uluslar Kupası maçlarına aşısız taraftarların kabul edilmeyeceği açıklandı. Turnuvayı izlemek isteyen futbolseverlere ücretsiz PCR testi de yapılacağı belirtildi.
İstanbul'da develi protesto. Görenler gözlerine inanamadı Beyoğlu’nda bir araya gelen aşı karşıtları maske kullanımına, HES Koduna ve aşıya karşı eylem yaptı. PCR genelgesi ile seyahat hürriyetlerinin gasp edildiğini iddia eden eylemciler, iki deve bir eşek ile yaşanan durumu protesto etti.
ABD'de korona virüs zorunluluğu ABD, gelecek haftadan itibaren ülkeye giren herkesten uçağa binmeden 24 saat önce yaptırılmış "negatif" PCR test sonucu isteyecek.
Gazeteci Nevşin Mengü'den kötü haber Gazeteci Nevşin Mengü, korona virüse yakalandığını duyurdu. Mengü, 3 doz BioNTech aşısı olmasına rağmen hastalığının hafif geçmediğini belirtti.
Aşı yaptırmayanlara sokağa çıkma yasağı başladı Avusturya’da yeni tip korona virüs (Kovid-19) aşısı yaptırmamış ve son 6 ayda koronaya yakalanmayanlar için bazı durumlar dışında sokağa çıkma kısıtlaması uygulanmaya başlandı.
Whatsapp'tan 200 liraya sahte PCR testi. e- Nabız'a bile düşüyor İstanbul'da PCR testlerinde yapılan yeni sahtekarlık yöntemi ortaya çıktı. Esenler'deki bir laboratuvarda özellikle yabancı turistlere Whatsapp üzerinden yollanan negatif sonuç içeren PCR testi belgeleri düzenlediği belirlendi. 200 lira karşılığı düzenlenen negatif sonuçlu PCR testi 2 saat içinde Sağlık Bakanlığı'nın e-nabız sistemine işlendiği görüldü.
Adana’da Erdoğan için PCR alarmı Adana’da Erdoğan alarmı.. Cumhurbaşkanının etkinliklerine katılacak ve bu etkinliklerde görev alacak tüm görevlilerin Covid-19 PCR testinden geçirildiği belirtildi.
Covid-19'un bulaş tarihi açıklandı Tüm dünyayı etkisi altına alan Korona virüsün 2019 yazında Vuhan'da yayılmaya başlamış olabileceği iddia edildi.
Okullarda PCR testi uygulaması başladı Öğrencilere yönelik rastgele PCR testi uygulaması başladı. İlk etapta 10 kentteki okullarda yapılacak testler için velilerin onay vermesi gerekecek. PCR testi uygulaması ile hedef salgının okullardaki seyrini belirlenmesi, belirti göstermeyen vakaların tespiti.
Türkiye İngiltere'den gelecekler için PCR şartını kaldırdı Türkiye, koronavirüse karşı iki aşısını da tamamlamış İngiliz turistler için PCR şartını kaldırdı.
Aşı ve PCR test sonucuyla ilgili flaş karar Kişisel Verileri Koruma Kurulu, yetkili kurumlar ve işverenlerin aşı ve PCR test sonucu bilgisini işlemesinin kanuna aykırı olmadığına karar verdi.
Sonuncu madde dikkat çekti Korona virüs ve aşılarla ilgili yaptığı açıklamalarla gündem olan Microsoft‘un kurucularından Bill Gates, kişisel bloğunda salgını bitirecek 3 adımı açıkladı.
Yıldız Tilbe apar topar hastaneye kaldırıldı Ünlü şarkıcı Yıldız Tilbe'nin apar topar Ulus'taki özel bir hastanede operasyon geçirdiği öğrenildi. Tilbe'nin sağlık sorununun kadın hastalıklarıyla ilgili bir sorun olduğu öne sürüldü.
PCR testi sahtekarlığına ikinci darbe İstanbul'da korona virüs sahte negatif test sonucu belgesi satan şebekeye 2. kez operasyon düzenlendi. Önceki gün düzenlenen operasyonda, 3 şüpheli gözaltına alınırken, çok sayıda sahte negatif belgesi, sürüntü çubuğu, PCR testi ele geçirildi.
Milli Eğitim Bakanlığı'ndan yeni karar Milli Eğitim Bakanlığı, özel eğitim kurumları ve öğrenci yurdunda görevli aşı olmamış öğretmen ve çalışanlardan haftada iki kez PCR testi isteneceğini bildirdi.
Şimdiye kadar Allah’a emanetmiş Uçak ve şehirler arası otobüs yolculuğunda aşı olmayanlardan PCR testi şartı istenmesi nedeniyle otogarlarda yolcu sayısı yüzde 50 azaldı. Firmalar, bilet almaya gelen aşısız veya PCR testi yaptırmayan yolculara bilet satmadı.
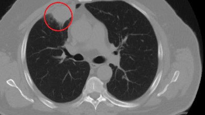
Dünya tıp literatüründe bir ilk. Korona akciğer kanserini taklit etti Kahramanmaraş'ta akciğer kanseri teşhisi konulan N.T.'nin (52) ameliyat öncesi korona virüs testi pozitif çıktı. 14 günlük korona tedavisinin ardından yeniden çekilen tomografisinde akciğeri temiz çıktı. Sütçü İmam Üniversitesi Sağlık Uygulama ve Araştırma Hastanesi Göğüs Cerrahi Ana Bilim Dalı Öğretim Üyesi Dr. Fatoş Kozanlı, koronavirüsün akciğer kanserini taklit ettiğini ve bunun dünya tıp literatüründe bir ilk olduğunu söyledi.
TTB’den aşı karşıtı mitinge sert tepki: Sağlık çalışanlarının özverisi hiçe sayılıyor Türk Tabipleri Birliği, aşı karşıtlarının İstanbul Maltepe’de düzenlediği mitinge sert tepki göstererek “Toplum sağlığını hiçe sayanlara sessiz kalınması pandemiyle mücadelede samimiyetsizliğin göstergesidir.” açıklaması yaptı.
THY'den iç hat seferlerine ilişkin yeni açıklama THY, 6 Eylül'den itibaren uygulanacak tedbirlere ilişkin yeni bir açıklama yayınladı.
İçişleri Bakanlığı'ndan PCR genelgesi Aşı olmayan ya da hastalığı geçirmemiş olanlardan, okul, sinema, tiyatroya girişlerde ya da şehirlerarası toplu taşıma kullanırken istenecek PCR negatif test sonucu 18 yaş ve üzeri için uygulanacak.
İngiltere, Türkiye’yi “kırmızı” listede bıraktı İngiltere uluslararası seyahatler için yeşil, sarı ve kırmızı listelerini güncelledi. Türkiye İngiltere'nin kırmızı listesinde kalmaya devam etti.
Dilipak'tan akıllara zarar iddialar: Karar verin! Chip’lenecek (mi)siniz! Yeni Akit Yazarı Abdurrahman Dilipak, "Artık, dünyada son biyolojik insan neslini sıfırlamaya hazırlanıyorlar" iddiasını gündeme getirdi.
İçişleri Bakanlığı'ndan 81 ile PCR testi genelgesi İçişleri Bakanlığı 81 il valiliğine “Bazı Faaliyetler İçin PCR Testi Zorunlululuğu” konulu genelge gönderdi.
Korona virüs salgınında yeni dönem. Aşı olmayanlara PCR testi zorunluluğu geldi Cumhurbaşkanı Erdoğan, Kabine Toplantısının ardından gündeme ilişkin açıklamalarda bulundu. Korona virüs salgınına ilişkin önlemleri duyuran Erdoğan, aşı olmayanların toplu alanlara girmesi için PCR testi zorunluluğu getirildiğini açıkladı.
Milli Eğitim Bakanı Mahmut Özer detayları açıkladı Milli Eğitim Bakanlığı’nda okulların normal zamanda açılması için hazırlıklar başladı.
PCR testini rafa kaldırtacak buluş: 1 saatte sonuçlanıyor, varyantı tespit ediyor Harvard Üniversitesi ve MIT'den araştırmacılar 1 saat içerisinde tükürükten korona virüsü ve hangi varyantı olduğunu belirleyen yeni bir test geliştirdi.
Reha Muhtar'dan Galatasaraylıları kızdıracak paylaşım Gazeteci Reha Muhtar, Olympiakos ile oynanacak özel maç için gittiği Yunanistan'da PCR testlerinin kabul edilmemesi nedeniyle geri dönen Galatasaray hakkında bir paylaşımda bulundu.
Yağlı güreş kayıtları başladı 660. Tarihi Kırkpınar Yağlı Güreşleri'nde mücadele edecek pehlivanların kayıt işlemleri başladı. Sporcular son iki günlük PCR testlerini beyan ederken kurayla rakiplerini de seçti.
KKTC'de yeni dönem! Girişler başladı Kuzey Kıbrıs Türk Cumhuriyeti, yeni tip korona virüs (Covid-19) salgınında yeni bir karar aldı. Buna göre, iki dozu aşı yaptırmış ve çift PCR testi bulunan kişilerin karantina olmaksızın ülkeye girişleri başladı.