Denizli’de yaşayan 78 yaşındaki emekli öğretmen felçli kadın, sıkça akciğer enfeksiyonuyla hastaneye başvuruyordu. Bir ay önceki hastane ziyaretinde bronkoskopi yapılmış, ancak sorun bulunamamıştı.
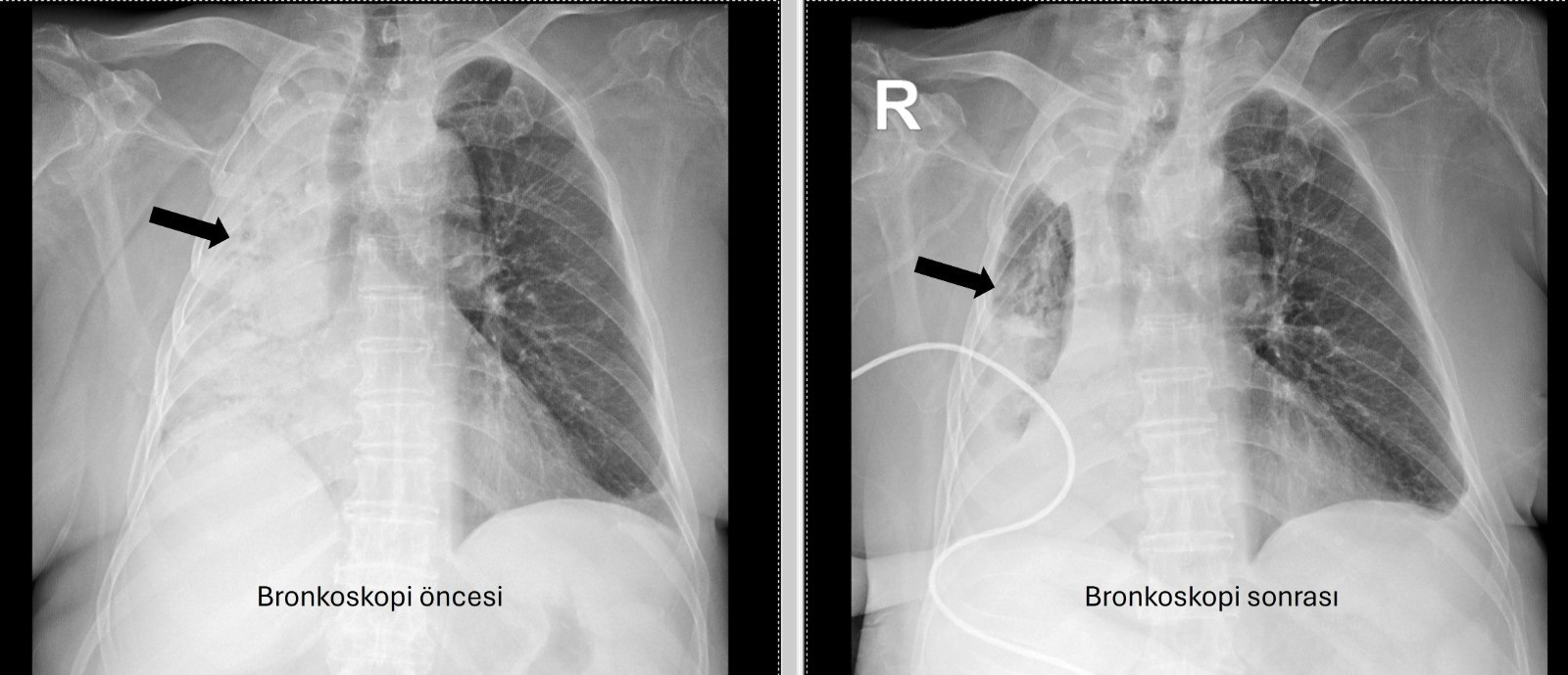
Son başvurduğu hastanede sağ akciğerinin tamamen kapalı olduğu saptanınca, hasta Pamukkale Üniversitesi Hastanesi’ne yönlendirildi. PAÜ Göğüs Hastalıkları Anabilim Dalı’ndan Prof. Dr. Göksel Altınışık Ergur, yapılan tetkiklerde sağ akciğere giden hava yolunun tamamen tıkalı olduğunu belirledi.

Prof. Dr. Altınışık Ergur, hastaya acil bronkoskopi planlandığını ve işlemin hemen yapıldığını belirtti: “Esnek bronkoskop ile hava yolları incelendiğinde yoğun, koyu sekresyonlar görüldü; temizlik sonrası inceleme mümkün oldu. Aspiratörle steril sıvı verilerek temizlik yapıldı ve sağ akciğere giden hava yolunda sarı bir cisim fark edildi. Bunun yabancı cisim olduğu ve mısır tanesine benzediği anlaşıldı. Yabancı cismi çıkarmak için genel anestezi altında rijit bronkoskop planlanabilirdi; çünkü tedavi, cismin sorunsuz çıkarılmasıydı.
Ancak hastanın genel durumu, ek hastalıkları ve enfeksiyonu nedeniyle genel anestezi riskliydi. Bu yüzden cismin fark edildiği anda çıkarılmasına karar verildi. Aspiratörün emme gücüyle cisim çıkarılabilirdi. Bronkoskopun ucu cismin gövdesine dayandırılıp aspiratörle emilerek sıkıca yapıştırıldı. Emme gücü sabit tutularak cisim ve bronkoskop hava yollarından başarıyla çıkarıldı. İşlem sonrası hasta yakınına mısır tanesiyle ilgili öykü sorulduğunda, beş ay önce hastanın mısır taneli pizza yediği öğrenildi. O an belirti oluşmaması nedeniyle bu durum düşünülmemişti. Düşkün hastalarda taneli gıdaların fark edilmeden bu sorunu yaratabileceği, hastaların dedektif titizliğiyle değerlendirilmesi gerektiğini gösteriyor.” dedi.

“YABANCI CİSİM ÖKSÜRÜKLE YA DA HEİMLİCH MANEVRASIYLA ÇIKMAZSA BRONKOSKOPİ GEREKİR.”
Prof. Dr. Göksel Altınışık Ergur, hava yoluna kaçan yabancı cisimlerin ani kazalarla oluştuğunu belirtti: “Normalde epiglot kapağı, gıdaların hava yoluna kaçmasını önler. Ancak gülme, konuşma veya yatar pozisyonda beslenen hastalarda bu mekanizma bozulabilir. Kuru yemiş, nohut, sıvı gıdalar, iğne ya da diş protezi gibi cisimler hava yoluna kaçtığında öksürük refleksi güçlü bir tepki verir.
Cismin büyüklüğüne ve tıkadığı bölgeye göre nefes darlığı, morarma, hatta ölüm riski oluşabilir. İlk etapta Heimlich manevrası veya öksürükle cisim atılamazsa, bronkoskopi gerekir. Bu işlem genellikle genel anestezi altında rijit bronkoskopla yapılır. Yabancı cisim çıkarılmazsa akciğerde hava akışı durur, sönme (atelektazi) ve dirençli enfeksiyonlar gelişebilir, bu da kalıcı akciğer hasarına yol açabilir.” dedi.

Nefes darlığı ve öksürük şikayetiyle doktora gitti, hayatının şokunu yaşadı: Acilen ameliyata alındı
Şaşırtan olay! Karın ağrısı şikayetiyle gitti, 7 kiloluk tümör çıktı
3 yaşındaki Berfin kusma ve bulantı şikayetiyle gitti: Midesinden çıkanlara doktorlar bile inanamadı!