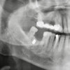
Merkeze bağlı Aslahlı Mahallesi''nde evli ve 2 çocuk babası emekli memur Faik Akın, Binali Yıldırım Üniversitesi Ağız ve Diş Sağlığı Eğitim ve Araştırma Hastanesi Ağız Diş ve Çene Cerrahisi Bölümü''ne diş tedavisine gitti. Akın''ı muayene ettikten sonra çekilen röntgen filmini inceleyen Dr. Öğretim Üyesi Yakup Gülnahar, yanağında bir parça olduğunu belirledi. Muayenede 15 yıl önce yaşadığı bir olayı hatırlayan Akın, benzinli hızar ile odun kestiği sırada zincirin koptuğunu ve daha sonra yanağında şişlik oluştuğunu söyledi. Dr. Gülnahar''ın mıknatıs ile yaptığı kontrolde parçanın metal olduğu tespit edildi. Dr. Gülnahar, ameliyat ile Akın''ın yanağındaki metal zincir parçasını aldı.
''HIZAR KAZASI AKLIMA GELDİ’
Diş tedavisine gelince metal parçanın röntgen ile görüldüğünü belirten Faik Akın "Dr. Öğretim Üyesi Yakup Gülnahar, ağzımdaki şişliğin implant parçası olup, olmadığını sordu. Ben de kendisine implant yaptırmadığımı söyledim. Sonra aklıma 15 yıl önce yaşadığım hızar kazası geldi ve doktora anlattım. Yakup bey, mıknatıs ile kontrolü sonrası yanağımdaki parçanın metal olduğunu belirledi. 15 yıl önce benzinli hızar ile çalışırken zincir koparak çeneme çarpmıştı. Parça yanağıma girmiş ve bunu fark etmemişim. 15 yıl yanağımdaki bu şişlikle yaşadım. Başarılı bir operasyon ile aldılar. Şu anda hiçbir şeyim yok" dedi.
''MIKNATISIN ŞİŞLİĞİ ÇEKTİĞİ GÖRDÜK''
Dr. Öğretim Üyesi Yakup Gülnahar da "Faik bey, rutin diş tedavisi için bize geldi. İstenilen röntgen filminde bir cisme denk geldik. Kendisine ''İmplant yaptırdınız mı?'' diye sordum. ''Hayır'' dedi. Bu sefer, hasta geçmişinde yaşadığı bir kazadan bahsetti. Kontrol ettiğimiz de mıknatısın şişliği çektiğini gördük. Başarılı bir operasyon ile demir parçasını aldık. Hasta şu anda gayet iyi" diye konuştu.


