İHA’nın haberine göre; İsmi açıklanmayan bir erkek hasta, 5 yıl önce iş kazası geçirdi. Hastanın kaval kemiğinde parçalı kırıklar oluşması sonucu bacağı diğerine kıyasla kısaldı. 5 yıl boyunca aksayarak yürümek zorunda kalan hasta, Elbistan Devlet Hastanesi’ne başvurduğu bildirildi.

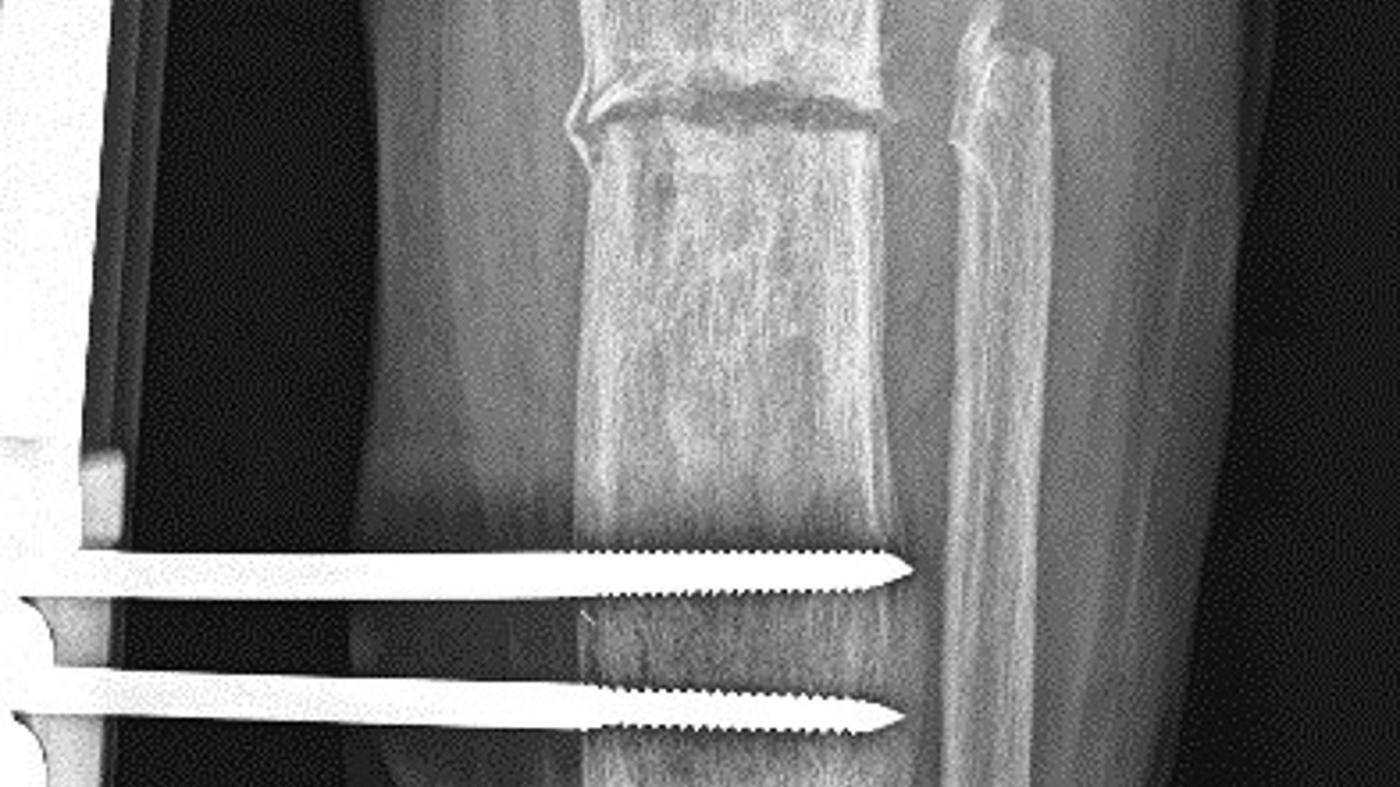
Ortopedi servisinde Ortopedist Op. Dr. Ali Canbay ve Op. Dr. Serdar Karaman tarafından tetkikleri yapılan hastaya, boy (kemik) uzatma operasyonu yapılması kararlaştırıldığı vurgulandı. Hastanın bacağına, ilk ameliyatında kısa olan kemiği günde 1 mm uzatma olacak şekilde bir sistem kuruldu. Başarılı geçen operasyon sonrasında kurulan sistem sayesinde 5 cm uzama ve yıllardır kaynamayan kemikte kaynama elde edildi. Son olarak dışarıdan uygulanan bu sistem çıkarıldı ve uzamanın kontrol altına alınması için çivi denilen işlem uygulandı. Hasta, tüm bu işlemlerin akabinde aksamadan yürümeye başlayarak eski sağlığına kavuştu.

Operasyonla ilgili Elbistan Devlet Hastanesi''nden yapılan açıklamada; “İş kazası nedeniyle beş yıl önce kaval kemiğinde parçalı kırığı olan ve kırık olan bacağında diğer bacağına kıyasla kısalığı devam eden hastamıza, Elbistan Devlet Hastanesi’nde Ortopedist Op. Dr. Ali Canbay ve Op. Dr. Serdar Karaman’ın birlikte yaptıkları iki operasyon sonucu hasta eski sağlığına kavuşmuştur. İlk ameliyatında kısa olan kemiği günde bir milimetre uzatma olacak şekilde kurulan sistem ile 5 cm uzama ve yıllardır bir türlü kaynamayan kemikte kaynama elde edilmiştir. Son olarak dışarıdan uygulanan sistem çıkarılıp hastanın konforlu hayatına dönmesi için çivi denilen işlem ile mevcut uzamanın koruma altına alınıp hastanın tekrar aksamadan yürümesi sağlanmıştır” ifadeleri kullanıldı.

Sağlığına kavuşan hastanın, doktorlarından ve hastaneden duyduğu memnuniyetini Cumhurbaşkanlığı İletişim Merkezi’ne yazdığı teşekkür yazısıyla dile getirdiğine değinilen açıklamada şu sözler kullanıldı:

“Boy uzatma ameliyatlarının bir kısmı kozmetik gerekçelerle yapılmakta iken bu hastamızda olduğu gibi travmalar sonucunda gelişen kısalıklar da deneyimli ortopedi hekimlerince tedavi edilebilmektedir. Kaza, kireçlenme veya doğuştan olan uzuvlardaki (kol, bacak, parmak) kısalıkların hastanemizde başarı ile tedavi edilmektedir”