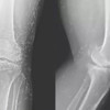
Görüntülerde ayrıca kemiklerde kalınlaşma, sertleşme ve mahmuz benzeri çıkıntılar belirlendi. Altın ipliklerin sebebinin ise alternatif bir tedavi olduğu anlaşıldı.
Kadının daha önce kireçlenme teşhisi aldığı ve ağrı kesiciler ile steroid enjeksiyonları gibi geleneksel tedavilerden fayda göremediği belirtildi. Mide ağrıları nedeniyle ilaçları bırakan kadın, haftada birkaç kez akupunktur seanslarına başlamıştı.

İdrar şikayetiyle başvurmuştu testisinde 20 santimlik tümör çıktı!
ALTIN İPLİKLERİN GİZEMİ: AKUPUNKTUR TEDAVİSİ
Hastanedeki tetkikler, röntgendeki altın ipliklerin kadının düzenli olarak yaptırdığı altın iplik akupunkturu seanslarında kasıtlı olarak bırakıldığını ortaya koydu. Bu yöntemde, steril kısa altın iplikler dokuya yerleştirilerek sürekli uyarım sağlanması hedefleniyor.
Doktorlar, ipliklerin vücutta bırakıldığını ancak önceki vakalardan hareketle bunun bazı riskler taşıyabileceğini ifade etti. Benzer tedaviler alan hastalarda kist oluşumu gözlenmişti. Ayrıca ipliklerin zamanla yer değiştirme ihtimali bulunuyor.

GELENEKSEL YÖNTEMİN BİLİMSEL TEMELİ ZAYIF
Uzmanlar, altın iplik akupunkturunun Asya’da osteoartrit (kireçlenme) ve romatoid artrit (iltihaplı romatizma) tedavisinde sıkça kullanıldığını belirtiyor. Ancak bu yöntemin etkinliğini destekleyen bilimsel kanıtların bulunmadığı, hatta bazen hastaların uygun tedaviye zamanında ulaşmasını engellediği vurgulanıyor.
Örneğin, 58 yaşındaki başka bir kadının bilek ağrıları için altın iplik akupunkturuna başvurduğu, ancak romatoid artritini kontrol edecek ilaçları zamanında almadığı için hastalığının ilerlediği kaydedildi.
SAĞLIK RİSKLERİ VE GÖRÜNTÜLEME SORUNLARI
Uzmanlar, altın ipliklerin zamanla vücutta hareket edebileceğine dikkat çekiyor. Örneğin, 75 yaşındaki bir kadında sırta yerleştirilen ipliklerin 10 yılda bacağın alt kısmına ulaştığı ve ciddi bir deri enfeksiyonuna neden olduğu belirtildi.
Ayrıca bu iplikler, görüntüleme teknikleri üzerinde olumsuz etkiler yaratabiliyor. Röntgen yorumlarını zorlaştırmasının yanı sıra, manyetik rezonans (MR) görüntülemelerinde ipliklerin hareket ederek damarlara zarar verme riski taşıdığı ifade edildi.
Nefes darlığı ve öksürük şikayetiyle doktora gitti, hayatının şokunu yaşadı: Acilen ameliyata alındı
UZMANLARDAN UYARI: DOKTORLAR BİLGİLİ OLMALI
Doktorlar, bu tür geleneksel tedavilere başvuran hastalarda altın ipliklerin varlığının mutlaka dikkate alınması gerektiğini vurguluyor. Neyse ki iplikler röntgende kolayca görülüyor ve konumları takip edilebiliyor.
Yine de uzmanlar, bu tür alternatif uygulamaların yol açabileceği riskler konusunda hem sağlık çalışanlarının hem de hastaların bilinçli olması gerektiğini ifade ediyor.
3 yaşındaki Berfin kusma ve bulantı şikayetiyle gitti: Midesinden çıkanlara doktorlar bile inanamadı!