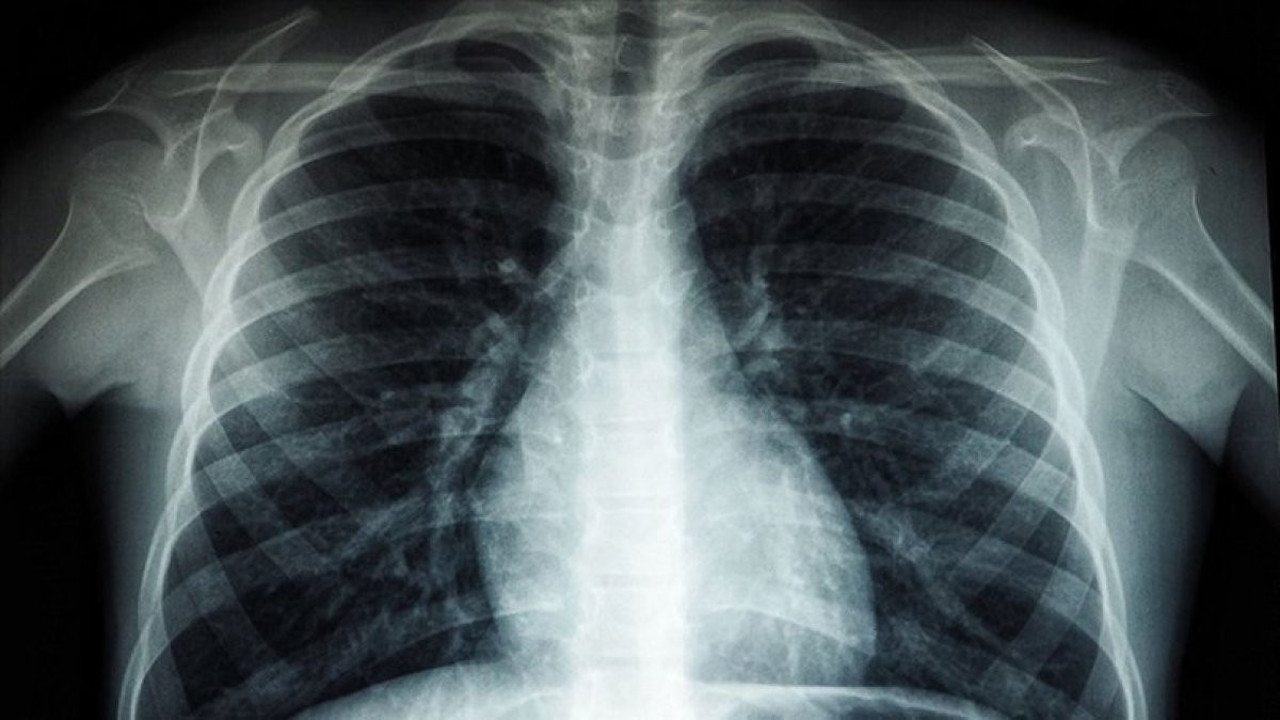
Yapılan bir araştırma, insanların akciğer dokularında küçük plastik parçacıklarının olduğunu ortaya koydu. Prof. Dr. Yıldızeli, solunum ile vücuda giren bu maddelerin, kansere yol açtığını söyledi.

Günlük hayatta sıklıkla kullanılan plastikler, yaşamın her alanında derin yaralar salıyor. İngiltere'de yapılan araştırma, yaşayan insanlardan alınan akciğer dokularında küçük plastik parçacıkları (mikroplastik) tespit edildiğini ortaya koydu. Mikroplastiklerin günlük hayatın her yerinde görüldüğünü belirten Marmara Üniversitesi Pendik Eğitim ve Araştırma Hastanesi Göğüs Cerrahisi Anabilim Dalı'ndan Prof. Dr. Bedrettin Yıldızeli, konuyla ilgili önemli bilgiler verdi. Prof. Dr. Yıldızeli, şunları söyledi:

"Mikroplastik adı verilen polipropilenler günlük hayatımızda her yerde karşılaştığımız plastik maddelerdir. Yemek yediğimiz plastik kaplardan tutun, kullandığımız arabada ve jelatinlerde de görebiliriz. Dolayısıyla günlük hayatımızda bu maddelere çok fazla maruz kalmaktayız. Astım, akciğer hastalığı gibi hastaları tetiklediğini görüyoruz. Hava kirliliğinin yoğun olduğu büyük şehirlerde de görülüyor. Zaten 20 yıl önce ortaya çıkan bazı çalışmalarda akciğer kanseri sebebiyle ameliyat olmuş hastaların akciğer dokularında bu mikroplastik adı verilen yabancı maddeleri görmüştük. Bu maddeler vücudumuza solunum yoluyla girdiğinde yaygın derecede reaksiyon yapmaktadır. Buna bağlı olarak akciğerde kansere kadar yol açabilen çeşitli hastalıklar görmekteyiz. Astım, akciğer hastalığı gibi hastaları tetiklediğini görüyoruz.”

“KANSER, ASTIM GİBİ HASTALIKLARA NEDEN OLABİLİR”

“Özellikle meslek hastalıklarında bu durumu görüyoruz. Hastalarımızda, nefes darlığı, egzersiz kapasitelerinde düşme ve öksürük görülüyor. Bu çalışmayla birlikte meslek hastalığı olmayan bizim gibi normal insanlarda da plastik maddelerin akciğerimize geldiğini gördük. Normalde bir şeyi soluduğumuz vakit bunun akciğerlerimize kaçması ve aşağılara gitmesi mümkün.” diye konuşan Prof. Dr. Yıldızeli sözlerine şunları ekledi:

“Ancak bizim daha aşağıda ufak dediğimiz damarsal düzeydeki yapılarımızda bile mikroplastikler görülebiliyor. Vücut bunu parçalayamadığı için bu kansere kadar yol açar. Mikroplastikler sigara içenler gibi riskli gruptakilerde kanser, astım gibi hastalıklara neden olur. Mikroplastik doğada bozulmaz, yıllarca bozulmadan kalır”

Çevre Mühendisi Prof. Dr. Mustafa Öztürk ise mikroplastiklere karşı alınması gereken önlemleri şöyla sıraladı:

“Mikroplastik, 5 mikrometreden daha küçük partiküldür ve gözle görülmez. Mikroplastik doğada bozulmaz, yıllarca bozulmadan kalır. Türkiye'de yaklaşık 350 noktada Çevre ve Şehircilik Bakanlığı tarafından hava kalitesi ve partikül maddeler izlenmektedir. Partikül maddelerin 10 mikrometre boyutundaki maddeleri izlenirken, artık 2,5 mikrometredeki tüm boyutlarda izlenmeye alınmalı. 2,5 mikrometredeki boyutu incelemeye aldığınız zaman kirleticileri tespit edebilirsiniz. Türkiye'de 350 noktada kirleticileri ölçen ve kirleticileri içerisindeki partikül maddeleri tespit ederseniz Londra'ya benzer şekilde havadaki mikroplastikleri tespit edilebilir, alınması gereken önlemler de alınır.Plastik üretim tesislerinde ileri kademe havalandırma, filtreleme yapılmalı"

DHA