Marmaris Belediyesinden engelli çocuklara diş sağlığı taraması Marmaris Belediyesi, engelli çocuklar için ağız diş sağlığı taraması ile yerinde tedavi etkinliği gerçekleştirdi.
Uzmanından 'diş enfeksiyonu' açıklaması: Depresyona sebep oluyor! Uzman Diş Hekimi ve Ağız, Diş, Çene Cerrahı Prof. Dr. Birkan Taha Özkan, "Diş ağrısı nedeniyle uyku kalitesi bozulduğunda, depresyon riski de artıyor" dedi.
Soda'nın sağlığımız üzerinde yeni etkileri ortaya çıktı Uzmanlar, sodanın kilo kontrolüne dolaylı katkıları olabileceğini söylerken, bazı olumsuz etkiler konusunda da uyarılarda bulundu.
Yapay zeka, diş sağlığında yeni bir çağı başlatıyor! Yeni araştırmalar ve gelişmeler Son yıllarda yapay zeka (YZ), sağlık sektöründe devrim yaratmaya devam ediyor. Diş hekimliği de bu değişimden nasibini almış durumda. Yapay zeka teknolojilerinin diş tedavilerine olan etkisi, sadece tedavi süreçlerini hızlandırmakla kalmıyor, aynı zamanda tedavi kalitesini de artırıyor. Peki, yapay zeka diş hekimliği alanında tam olarak nasıl bir dönüşüm sağlıyor? Bu teknoloji, diş sağlığına nasıl katkı sağlıyor ve gelecekte diş tedavileri nasıl şekillenecek? Tüm detaylar haberimizde...
Diş sağlığına müthiş faydaları var! Mucize meyve ortaya çıktı! Muşmulanın diş ve diş eti sağlığı üzerindeki faydaları bilimsel araştırmalar ve uzman görüşlerinden ortaya çıktı.
Ağzınızda bir tane bile çürük diş kalmayacak Diş sağlığı, genel sağlık üzerinde büyük bir etkiye sahip olup, sağlıklı dişler ve diş etleri yaşam kalitesini önemli ölçüde artırabilir. Uzman doktorlar, doğal yöntemlerin diş sağlığına olumlu etkiler sağlayabileceğini belirtti.
Dişler nasıl daha sağlıklı olur? Sağlıklı ve güçlü dişler, genel sağlık için temel bir gereklilik olarak kabul ediliyor. Diş hekimleri, dişlerin güçlendirilmesi ve uzun ömürlü olmaları için önemli bakım önerilerinde bulunuyor.
Günde en az 2 bardak tüketilmeli. Kalsiyum ve fosfor deposu Süt, içindeki kalsiyum ve fosforla, dişlerin güçlenmesinde önemli bir rol oynuyor. Çozuklarda süt tüketiminin önemine değinen Çocuk Diş Hekimi Dr. Öğr. Üyesi Şebnem N. Koçan, konu hakkında açıklamalarda bulundu.
Kalbiniz ve beyniniz için diş sağlığına dikkat! Uzmanı uyarılarını sıraladı Prof. Dr. Fethi Atıl, ağız sağlığının hem beslenme hem de sosyal etkileşim için kritik bir alan olduğunu vurgulayarak uyarılarda bulundu.
Sağlıklı dişler için neler yapılabilir? Çoğu kişi dişlerini yeterince beyaz ve düzgün bulmadığı için endişe duyar. Ancak doğru ağız ve diş bakımıyla bunu mümkün kılabilirsiniz.
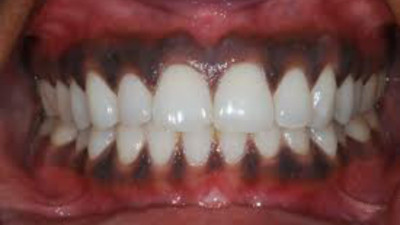
Hemen bir ayna bulup diş etlerinize bakın Diş eti renkleri hangi hastalıkların habercisi? İşte ayrıntılar...
İşte Zirkonyum hakkında az bilinenler Zirkonyum diş kaplaması, estetik diş hekimliğinde popüler bir seçenek haline geldi. İşte ayrıntıları...
Sigara diş tedavi sürecini olumsuz etkiler mi Sigara diş sağlığını nasıl tehdit ediyor? Diş hastalıkları uzmanları uyarıyor...
Ağız hijyeninin bozulması nelere yol açar (09 Ocak 2024) Prof. Dr. Tolga Kandoğan, ağız hijyeninin kansere yol açabileceği konusunda önemli uyarılar yaptı. İşte o uyarılar...
Diş eti ağrısı nasıl geçer? Diş eti iltihabı tedavisi nedir? Diş etleri ağızda dış etkenlerden en çok etkilenen bölgedir. Oldukça hassas olan diş etlerinde zaman zaman oluşan ağrı ve iltihaplar pek çok kişini korkulu rüyasıdır. Diş eti ağrı ve iltihapları için kolayca hazırlayabileceğiniz doğal karışımlar mevcut. Peki, diş eti ağrısı nasıl geçer? Diş eti iltihabı tedavisi nedir?
Evde diş taşlarından nasıl kurtulursunuz Diş taşı yani tartar pek çok insanın baş belasıdır. Peki diş taşlarınızdan evde pratik yollarla nasıl kurtulabilirsiniz? İşte o yöntemler...
Diş çürükleri nasıl önlenir 31-12-2023 Ağız ve diş sağlığı deyince ilk akla gelen diş çürükleri olur. Peki, en basit şekilde diş çürüklerini nasıl anlayabiliriz? İşte yanıtı
Diş eti kanaması neden olur? Diş eti kanaması nasıl geçer? Sık yaşanan diş eti kanamaları bazı hastalıkların habercisi olabilir. Vücut sağlığıyla ilgili bilgiler veren diş eti kanamalarının altında yatan sebepleri araştırmak gerekiyor. Peki, diş eti kanaması neden olur? Diş eti kanaması nasıl geçer?
Hastalara beş yıl sonraya randevu. Ağız ve diş sağlığında kriz Üniversitelerin ağız ve diş hastanelerinde beş yıl sonraya randevu verildiği bildirildi. Bu da, “Ağız ve diş sağlığında kriz” şeklinde yorumlandı.
Uzmanından diş sağlığıyla ilgili kritik uyarılar Diş Hekimliği Fakültesi Öğretim Üyesi Dr. Duygu İlhan, “İçeriği florlu olan macunlar tercih edilmeli” ifadeleriyle uyarı yaparak dikkat çeken açıklamalarda bulundu.
Diş sağlığına iyi geliyor. İşte o ot Diş sağlığına iyi gelen kavak ağacının faydaları dikkat çekti. Kavak ağacıyla ilgili detaylar haberimizde...
Diş sağlığınız böyleyse vaz halinize Ağız ve diş sağlığının bozulması halinde oluşabilecek problemler hakkında The Journal of the American Geriatrics Society'de yayımlanan yeni bir araştırmaya göre, diş sağlığı iyi olmayan kişilerin yaşamlarının ilerleyen dönemlerinde Alzheimer hastalığına yakalanma oranı yüzde 21 daha fazla görülüyor.
Bu gıdalar diş fırçası görevi yapıyor Uzmanlar diş sağlığı için her gün fırçalamayı öneriyor. Peki hem yiyecek tüketip hem de dişlerinizin sağlıklı olmasını ister misiniz? İşte o gıdalar…
Menopoz döneminde diş kaybına dikkat Uzmanlar menopoz döneminde diş sağlığına dikkat çekiyor. Bu dönemde hormonların değişimi ile birlikte kemikler ve dişlerde kalsiyum kaybı nedeniyle değişiklikler yaşanıyor.
Diş sağlığınız için radyasyonu bahane etmeyin Radyasyonu bahane edip diş sağlığınızı ertelemeyin uyarısında bulunan Diş Hekimi Dt. Beste Gündüz Uysal, “Röntgenlerdeki radyasyon dozu oldukça düşük" dedi.
Diş sağlığınız için bu besinlerden uzak durun! Diş Hastanesi Başhekimi Dt. Oğuz Kara, sağlıklı bir gülümseye sahip olmak için uzak durulması gereken 10 zararlı yiyeceği ve içeceği açıkladı.
Ağız gargarası kullananlar dikkat! Ağız, Diş ve Çene Cerrahisi Uzmanı Prof. Dr. Murat Akkocaoğlu, uzun süreli ağız gargarası kullanımının ağızda yaşaması gereken mikro organizmaları azalttığını, bu durumun da mantar enfeksiyonlarına sebebiyet verebileceğini söyledi.
Diş sıkmak dişlerini kırabilir Ağız ve diş sağlığına zarar veren besinler ve alışkanlıklar konusunda önemli bilgiler veren Diş Hekimi Erce Beleçoğlu, diş sıkmanın diş kırıklarına ve eklem problemlerine yol açabildiğini ifade etti.
Diş sağlığı için tatlıdan sonra su için Ramazan ayında beslenme düzeninin değişmesiyle insanların ağız ve diş sağlığına gereken önemi veremediğini belirten uzmanlar, şekerli ürünlerin tüketilmesinin ardından dişlerin fırçalanması gerektiğini, diş fırçası yoksa su içilmesi gerektiğini söylüyor.