Mide ve bağırsakları motor gibi çalıştıran bitki ortaya çıktı. Hazımsızlık ve sindirim sorunu çekenlere müjde
Mide ve bağırsaklarında uyuşturucu taşırken yakalandılar Erzincan'da mide ve bağırsaklarında uyuşturucu ele geçirilen İran uyruklu 2 zanlı tutuklandı.
Kızarmış çıtır tavuk yerken bir kez daha düşünün. Bu görüntüler mide bulandırdı Sosyal medyada yayılan bir görüntüyE göre, kızarmış çıtır tavuk presinden çıkan yağ mide bulandırdı.
Alıç meyvesini yanlış tüketen hasta oluyor Uzmanlarca kalp ve damar hastalıklarına karşı etkili olduğu söylenen alıç meyvesi fazla tüketildiğinde ciddi sağlık sorunlarına yol açıyor. İşte, ayrıntılar…
Sıcak havada mide-bağırsak sağlığına dikkat. Profesör uyarılarını sıraladı Gastroenteroloji uzmanı Prof. Dr. Hakan Demirci; karın ağrısı, ishal ve kusma gibi şikâyetlerle kişiyi yatağa yatıran mide-bağırsak enfeksiyonu aşırı sıcaklarda bir artış gösterdiğini söyleyerek uyarılarda bulundu.
Rüyada mide görmek ne anlama geliyor? Rüyada mide görmek neye işaret? Rüyada mide görmenin iyi ve kötü anlamları vardır.
İranlı kuryesinin midesinden 711 gram uyuşturucu çıktı Erzincan polisinin uyuşturucu madde kuryeliği yapan şahıslara yönelik düzenlediği operasyonda, uyuşturucuyu midesine gizleyen İran uyruklu 1 kişi tutuklandı. 711,86 gram Afyon sakızı ele geçirildi.
Ölümden dönen hastanın midesinden çıkan herkesi şok etti Kahramanmaraş'ta yaşayan 40 yaşındaki Sultan Tıraş'ın boynuna takılan implant yemek borusunu yırtıp midesine düştüğü ifade edildi.
Gaz sancısına iyi gelen mucize ot İnsanların korkulu rüyası olan mide ve bağırsak gazlarını gideren rezene bitkisinin faydaları dikkat çekti.
Mucize ot mide ve bağırsak sağlığına iyi geliyor Mide ve bağırsaklardaki gazı gideren kavak ağacının faydaları dikkat çekti.
Tıp dünyası şokta. Mide ağrısıyla hastaneye gitti. Midesinden pet şişe çıktı Tıp dünyasını şaşkına çeviren olay Hindistan'da oldu. Mide ağrısıyla hastaneye giden bir kişinin midesinden 20 cm’lik pet şişenin çıkması dikkat çekti.
Dikkat! Pankreas kanserinin erken belirtisi olabilir Obezite ile pankreas kanseri arasında bağlantı olduğunu dile getiren Genel Cerrahi Uzmanı Prof. Dr. Ali Kağan Gökakın, “Aniden ortaya çıkan şeker hastalığı, pankreas kanserinin erken belirtisi ve uyarıcısı olabilir.
Mucize bitki mide ve bağırsak gazlarına iyi geliyor Mide ve bağırsak gazlarını söktüren ıtır bitkisinin faydaları dikkat çekti.
Mide ve bağırsak gazlarına iyi gelen ot (23 Nisan 2023) Mide ve bağırsak gazlarına iyi geldiği vurgulanan gözlükotunun faydaları dikkat çekti.
Mide ve bağırsak gazlarına iyi gelen ot Eğirotu bitkisi mide ve bağırsak gazlarına iyi gelmesinden birçok sağlık sorununa çözdüğü vurgulandı.
Mide ülserine iyi gelen ot Eğriotu bitkisinin mide ülserini iyileştirmesinden birçok sağlık sorununa iyi geldiği vurgulandı.
Ramazan’da bu besinlerden uzak durun. Mide sorunlarını tetikliyor Gastroenteroloji Uzmanı Prof. Dr. Ömer Şentürk, “Ramazan’da yağlı ve baharatlı beslenmek mide sorunlarını tetikleyebilir” sözlerini kullandı.
Ramazanda mide ekşirse ne yapmalı Gastroenteroloji Uzmanı Dr. Tülin Kendir Koçak, ramazan ayında yaşanan beslenme değişikliklerinin mide ve bağırsak problemlerine neden olabileceği konusunda uyarılarda bulundu. Koçak, “Sahurda yenilen hamur işleri ve kızartmalar, özellikle de sahurdan sonra tekrar yatıldığı için sabah kalkınca midede ağırlık, ekşime ve yanmaya neden olur” dedi ve önerilerde bulundu.
Zayıflamak isteyenlere dikkat çeken öneri Zayıflamak isteyenlerin mide balonuyla hayalini kurdukları görünüme kavuştuğu bildirildi.
İftarda aniden tüketilen suyun büyük zararı İftarda aniden tüketilen suyun mide problemlerine neden olabileceği bildirildi.
Oruç tutanların gözdesi. Mide rahatsızlıklara birebir İftar yemeklerinden sonra yaşanan mide rahatsızlıklarına karşı önerilen rezene çayı dikkat çekti.
Köylüler dev yılanı öldürdü midesinden çıkan şok yaşattı Brezilya'nın Amazon ormanlarına yakın Povoado Santo Antonio bölgesinde, köylüler yakaladıkları 6 metre uzunluğundaki yılanın karnını yardı. Köylüler, yılanın karnında koyun görünce büyük şok yaşadı.
Ramazanda bunları yapan mide sorunu yaşamıyor İç Hastalıkları Uzmanı Doç. Dr. Mehmet Sami İslamoğlu, “Sahur yemeğinden hemen sonra yatılmaması ve belirli bir süre ayakta kalınarak fiziksel aktivite yapılması önemlidir.” Diye uyardı ve önemli açıklamalarda bulundu.
Uzmanı uyardı. Ramazan’da mide sorunu yaşamamak için sakın bunu yapmayın Doç. Dr. Mehmet Sami İslamoğlu, “Ramazan’da mide sorunu yaşamamak için sahurdan hemen sonra uyumayın” sözleriyle uyardı.
Kanser hastasına ince bağırsağından mide yapıldı İleri evre mide kanseri olan 52 yaşındaki hastaya, ince bağırsaktan mide yapıldığı bildirildi.
Uzmanından mide botoksu açıklaması Mide botoksunun ehil ellerde yapılması gerektiğini belirten Prof. Dr. Vedat Göral, “Botoksun kalitesi, yapılan doz, yapan kişi ve yapılan yer önemli. İnsanların sağlığıyla oynamamak, sırf para için yapmamak lazım. Videodan görmekle ve ya sosyal medyadan izlemekle botoks tedavisi yapılmaz” ifadelerini kullandı.
Aylar önce uyarıyor. Kimse kalp krizinin bu belirtisini bilmiyor Uzmanlar kalp krizi yaşanmadan aylar önce midede ortaya çıkan çeşitli belirtiler bulunduğu açıkladı.
Sabah aç karnına bunları asla tüketmeyin (27 Ocak 2023) Hemen her sabah birçoğumuz aç karnına bazı besin maddelerini tüketiyoruz. Ancak bunlardan bazılarını asla tüketmemeliyiz. İşte aç karnına sabahın ilk ışıklarıyla birlikte tüketilmemesi gereken o ürünler…
Portakal ve mandalinayı sakın böyle tüketmeyin. Mideyi alt üst ediyor Prof. Dr. Orhan Kocaman, “Reflüyü ve göğüsteki yanmayı tetikleyebilecek turunçgiller (portakal, mandalina, greyfurt ve limon), karbonatlı içecekler ve baharatların tüketimi sınırlandırılmalıdır” şeklindeki ifadelerle uyardı.
Mide ağrısına birebir iyi geliyor Mutfakta, ilaç sanayinde ve kozmetikte en çok kullanılan bitkiler arasında yer alan nanenin faydası bilinir. Üstelik elimizin altında olan nanenin faydaları nelerdir ve özellikle mide ağrısını nasıl keser? İşte yanıtları.
İneğin karnından bir avuç çivi çıktı Kahramanmaraş’ın Elbistan ilçesinde hastalandığı için veteriner tarafından kontrol edilen ineğin karnında bir avuç çivi çıktı.
Kedinin midesinden çıkan veterineri şok etti Muğla’nın Ortaca ilçesinde kedinin midesinden iğne çıkması dikkat çekti. Kedinin midesindeki iğne röntgende ortaya çıktı.
Bu hastalık en çok masa başı çalışanlarda görülüyor. Aman dikkat Uzman Diyetisyen Hasan Fatih Akgöz reflünün en çok masa başı çalışan düşük fiziksel aktiviteli bireylerde görülebileceğini açıkladı.
Yeni yılda mideyi rahatlatacak 5 tüyo Diyetisyen Tuğçe Yılmaz, yılbaşı günlük yeme rutinini bozanlara beslenme tavsiyelerinde bulundu.
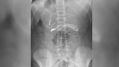
15 yaşındaki çocuğun midesinden çıkana doktorlar bile inanamadı Diyarbakır’da hastaneye kaldırılan 15 yaşındaki çocuğun midesinden şarj kablosu ve toka çıktı.
Faslı turistin midesinden çıktı. Polisler şaştı kaldı Türkiye’ye midesindeki 194 adet kapsül halinde bulunan 1 kilo 545 gram reçine esrarı ile giriş yapan Faslı turist Yalova’da yakalandı.
Faslı turistin midesinden iki kiloya yakın esrar çıktı Türkiye’ye midesindeki 194 adet kapsül halinde bulunan 1 kilo 545 gram reçine esrarı ile giriş yapan Faslı turist Yalova’da yakalandı.
Ağzınıza attığınız an sorun başlıyor. Bağırsağınızda dinamit etkisi yaratıyor Sindirim sorunları ne yediğinizle ilişkili olduğu bilinirken bağırsak sorunlarını daha da kötüleştirmek istemiyorsanız bazı yiyeceklerden uzak durmanızın gerekliliği vurgulandı.
Mide ekşimesine iyi gelen besinler belli oldu Mide ekşimesine bazı yiyecekler iyi geliyor. İşte detaylar…
Nijerli 200 kilogram ağırlığındaki süper obez 3 bin kilometreden geldi. Midesini Türkiye’de bıraktı Nijer’de yaşayan Farice Djimba, 200 kilogram ağırlığına ulaştığında artık yerinden bile kalkamıyordu; ama sağlığına kavuşmak için 3 bin kilometre uzaklıktaki İzmir’e geldiği bildirildi.
Uzmanından yanlış bilinen ‘mide koruyucu’ açıklaması Türk Gastroenteroloji Derneği (TGD) Yönetim Kurulu Başkanı Prof. Dr. Dilek Oğuz, halk arasında 'mide koruyucu' olarak bilinen ilaçların yanlış kullanımına değindi.
Mide yanmasını anında geçiriyor. Günde 1 bardak içmek yeterli Mide ekşimesinin semptomlarının kaybolana kadar lahana suyunu günde bir bardak içilmesi tavsiye edildi. Mide ekşimesi veya yanma hissi en sık görülen mide rahatsızlıklarının anında geçirecek doğal gıdaları sizlerle paylaşıyoruz…
Mide ve bağırsağından çıkanlar şaşkına çevirdi Ağrı’da bir yolcu otobüsünde polis ekipleri tarafından yapılan aramada İran uyruklu şahsın midesindeki şişliğin şüphe uyandırması üzerine yapılan incelemede mide ve bağırsaklarında uyuşturucu olduğu tespit edildi.
Ne bulduysa mideye indirmiş. Mide değil sanki hurdalık Van'da karın ağrısı şikâyetiyle hastaneye başvuran 35 yaşındaki gencin midesinden 1 liralık 83 madeni para, pil, mıknatıs, çivi, cam parçaları, taş ve vida gibi 233 cisim çıkarıldı.
-Ölümcül darbeyi indirdi Manavgat Irmağı’nda balıkçıl ile yılan balığının 5 dakikayı geçen mücadelesi kameralara yansırken, mücadelenin galibi, rakibini midesine indiren balıkçıl oldu.